ウサギでの発生
リンパ腫はリンパ系組織の悪性腫瘍で、ペットのウサギでの発生も珍しくはなく〔Tinkey et al.2012,Van Zeeland 2017〕、野生個体や実験動物でも診断されています〔Van Zeeland 2017,Bertram et al.2021,Fox et al.1970,Heatley et al.2004〕。しかし、ウサギでは明確な病理学的診断が下されたものの、治療および予後についての明記したものは少なく、いくつかの症例報告しかありません〔White et al.2000,Fox et al.1970,Gupta 1976,Hayden 1970,Pilny et al.2008〕。なお、リンパ腫の分類は複雑で、解剖学的局在(多中心性、胸腺、消化器、皮膚、または単一臓器)、構造(びまん性または結節性腫瘤)、分化の程度(低分化あるいは高分化)、細胞形態学、および免疫表現型などの臨床的特徴と形態学的特徴の両方が組み込まれています〔Valli et al.2011,Xavier et al.2018,Gómez et al.2002〕。B細胞および T 細胞起源の両方のリンパ腫がウサギでは報告されており、リンパ節、胸腺、脾臓、肝臓、消化管リンパ組織、腎臓、皮膚、目、およびリンパ節を含むほぼすべての臓器で発生します〔Tinkey et al.2012,Van Zeeland 2017,White et al.2000,Bertram et al.2021, Barthold et al.2016,Keller et al.2019,Volopich et al.2005〕。なお、 古い文献や書物では、ウサギにおけるリンパ腫以外に白血病の存在も記載されていましたが、現在では、多臓器系の関与を伴う白血化について解明され、これらの2種類の悪性腫瘍の区別はしばしば曖昧であることが示されています〔Van Zeeland 2017,Finnie et al.1980,Toth et al.1990,Meier et al.1972〕。
犬猫のリンパ腫のサブタイプ
リンパ腫を診断する際には細胞診と発生部位が主に用いられてきましたが、細胞診による検査はリンパ腫であるか否かを明らかにすることを目的型としています。発生部位において多中心型、消化器型、皮膚型、縦隔型、肝臓や腎臓原発、鼻腔や神経原発、骨髄原発白血病などが見られます。しかし、リンパ腫は発生部位だけでなく、細胞・組織形態、免疫学的表現型により多数のサブタイプに分かれ、それぞれ治療方法や予後が異なるために正確な診断が必要となります。リンパ腫自体が異なる細胞系統の様々な分化段階に相当する疾患であるためです。サブタイプに細分化するためにも、病理組織学的検査ならびに免疫表現型検査が必要となり、可能な限り、リンパ節や皮膚腫瘤などの生検が行われます。細胞診における所見をもとにして、細胞系統と悪性度を鑑別する新 Kiel分類が犬のリンパ腫で過去に用いられ〔Fournel-Fleyry et al.1997〕、リンパ腫をT・NK/B細胞性と細胞形態的に高分化と低分化に分類し、臨床的に理解しやすいメリットがありました。しかし、現在は国際的なWHO(World Health Organization)分類による人のリンパ腫の細分化が急速に進み、それぞれのリンパ腫を組織学的特徴ならびに細胞表面抗原の特徴等を加味してB/T・NK細胞別に分類し、治療の有効性まで検討することが可能となりました。動物のリンパ腫も人のものと比較する上では極めて有用でしたが、人のWHO分類における分類において〔Jaffe etal.2001〕、動物種における相異が見られました。そこで、2002年に動物のリンパ腫(造血器腫瘍)に関する国際的な組織学的分類としてのWHO分類が新たに発表され〔Valli et al.2002〕、人には認められないような T領域リンパ腫(T-zone lymphoma:TZL)が追加されました〔Valli et al.2006〕。

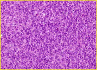
写真:病理組織像〔HE染色〕:異形リンパ球の増殖が認められます。
WHO分類におけるそれぞれのサブタイプにおいて、治療方法や予後のデータに関する論文も多数発表されるようになりました〔Valli et al.2013〕。なお、犬や猫ではB細胞由来のリンパ腫が多いです〔Lymphoma study group of Japanese pathologists 2000,Non-Hodgekin’s lymphoma classification project 1997,Teske et al.1994,Caniatti et al.1994,Fournel-Fleury et al. 1997,Gabor et al.1999,Wang et al.2001〕。
犬と猫のリンパ腫の発生臓器を比較してみると、犬では人と同様に多中心型が過半数を占めるのに対し、猫では様々な臓器での単独発生が多いです。すなわち、犬と猫の種差は腫瘍細胞のタイプよりも発生部位の差となって現れます。WHO分類においては、犬では中悪性度リンパ腫であるび漫性大細胞型B細胞リンパ腫(Diffuse large B-cell lymphoma:DLBCL)が最も多いですが、一方で悪性度が低くかつ比較的進行が緩慢なリンパ腫(低悪性度リンパ腫/緩徐進行型リンパ腫)の存在も明らかとなり、TZL〔Flood-Knapik et al.2013〕と脾臓の辺縁帯リンパ腫(Marginal zone lymphoma:MZL)〔O’Brien et al.2013〕も比較的症例数が多いことが解明され、全てのリンパ腫において多剤化学療法を実施する意義が低いとされています。低悪性度リンパ腫は高悪性度リンパ腫とは予後や治療が異なり、症状が軽微であれば、watch-and-waitとして無治療での経過観察が選択されることが多いです。たとえ進行した病状が認められた場合にはプレドニゾロンのみなどの治療の開始を考慮する程度です。猫の消化型管リンパ腫に関しては、小細胞性T細胞リンパ腫、大細胞性T細胞リンパ腫、大細胞性B細胞リンパ腫に大別されています。猫での小細胞性T細胞リンパ腫は低悪性度リンパ腫の代表的なものですが、他の2つのタイプは予後不良です〔Moore et al.2012〕。猫の小細胞性T細胞リンパ腫は、人の最新のWHO分類に照合すると〔Swerdlow et al.2008〕、腸症関連T細胞リンパ腫として分類され、グルテン過敏性腸症としての扱いに近いです。
発生年齢
リンパ腫の発生は、これまでに若いウサギの疾患として文献で報告されており、診断時の年齢が 2 歳未満でした〔Tinkey et al.2012,Van Zeeland 2017,White et al.2000,Percy et al.2013〕。回顧的調査でも、25~48ヵ月齢でリンパ腫の発生率が最も高い結果がでています〔Bertram et al.2021〕。しかし、カリフォルニア大学の動物病院において、1996~2019 年までにリンパ腫と診断されたウサギの16頭の研究調査を行ったところ、平均年齢は8歳(4.5~12)でした〔Robertson et al.2022〕。
症状
リンパ腫の症状は多様で、一般に影響を受ける臓器に対応します。ウサギで多発するDLBCLでは、一般的に食欲不振、嗜眠、体重減少などの非特異的な症状が見られます〔Van Zeeland 2017〕。DLBCLは、消化管、腎臓、肝臓、脾臓、リンパ節、肺などの複数の臓器が影響を受けることから〔Ishikawa et al.2007,Reed et al.2009〕、侵された臓器によって末梢リンパ節の腫大、肝腫や脾腫、または腎臓の腫大が含まれる場合があります〔Van Zeeland 2017〕。皮膚型リンパ腫(上皮指向性および非上皮指向性)では、皮膚結節またはプラークとして現れ、潰瘍形成、痂皮、紅斑、脱毛、そして皮膚腫瘤を伴います〔Van Zeeland 2017,White et al.2000,Ritter et al.2012〕。皮膚腫瘤は口唇部や腹側に発生し、他にも腰や前肢にも発生します。しかし、これまでに報告されたウサギの皮膚型リンパ腫では、より全身性症状を伴うことが多く、肺やリンパ節にも影響を及ぼします〔White et al.2000〕。縦郭型では、胸水による呼吸困難を引き起こします〔Van Zeeland 2017,Hayden 1970〕。なお、眼球の発生では眼球破裂が起こることが多いです〔Keller 2019〕。


写真:皮膚型リンパ腫:自壊を伴った皮膚腫瘤が見られ、進行すると多発性になります。
ウサギのサブタイプ
ウサギでも様々なサブタイプのリンパ腫が見られますが、免疫表現型検査まで行うと、人間や犬と同様に、びまん性大細胞型B細胞リンパ腫が最も一般的であると考えられています〔Bertram et al.2021〕。カリフォルニア大学の動物病院でリンパ腫と診断された14頭のウサギにおける免疫表現型検査では、9例がB細胞リンパ腫、5例がT細胞リンパ腫で、WHO分類に照合すると、びまん性大細胞型B細胞リンパ腫が7例と多く、他にも上皮指向性T細胞リンパ腫、II型腸疾患関連T細胞リンパ腫(EATCL)、脾臓辺縁帯B細胞リンパ腫(MZL)、皮膚の非上皮指向性T細胞リンパ腫、原発性縦隔(胸腺)大細胞型B細胞リンパ腫などが診断されています〔Robertson et al.2022〕。
検査
リンパ腫の診断やサブタイプを確定するためには、リンパ節生検や腫瘍生検の病理検査ならびに免疫表現型検査になります。その他、病気の蔓延や全身状態の詳細を調べるために、血液検査、X線検査、超音波検査、CT検査などの画像検査、あるいは骨髄検査などが行われます。また、人や犬ではリンパ腫の進行は、I期、II期、III期、IV期の4つに分類され、病期によって、治療法を選択したり、予後を予測したりするため、全身の検査によって正確な病期を判定することが重要とされています。

リンパ節生検/腫瘍生検
腫大したリンパ節、脾臓、虫垂あるいは皮膚腫瘤腫の一部または全体を摘出して病理組織学的検査ならびに免疫表現型検査を行い、診断を確定します。
血液検査
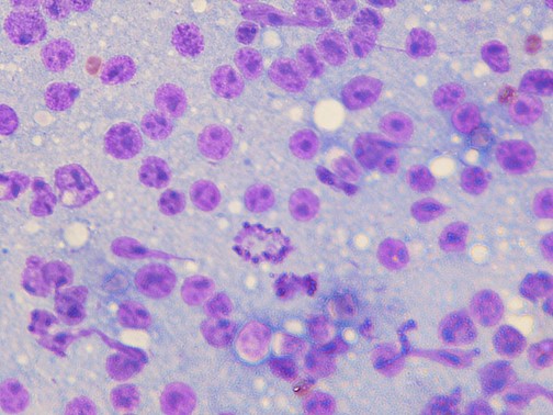
血液検査では貧血および炎症を示す所見が多く〔Fisher et al.2018〕、時に大型の未熟な異型リンパ球が検出されます。これらの腫瘍性リンパ球は、高悪性度リンパ腫の顕著な白血病期を最もよく示すものとして解釈されました。興味深いことにリンパ腫瘍を患う多くの哺乳類の種類では血小板減少症を発症しますが、ウサギでは血小板増加症が頻繁に起こるようです〔Zandvliet 2016,Baskin et al.2000,Taintor et al.2011,Ammersbach et al.2008〕。血液生化学パネルでは、リンパ腫を有する犬および猫における高カルシウム血症などの腫瘍随伴症候群〔Finora 2003,Lucas et al.2007〕は、ウサギでは認められません。これはウサギが、生理的高カルシウム血症を示す特徴が関与していると言われています〔Redrobe 2002〕。
画像検査
胸部X線写真で肺結節または肺浸潤、胸水、頭蓋縦隔腫瘤などの様々なリンパ腫に関連した異常が認められます。腹部超音波検査では、腸間膜リンパ節の腫大、胃腸の局所的肥厚や腫瘤、脾腫などの異常も確認されます。超音波検査は診断用サンプルを採取するための細針吸引を容易にするのにも特に役立ちます。

治療
ウサギのリンパ腫に対する確定的な治療は定まっていません〔Tinkey et al.2012,Van Zeeland 2017〕。治療ならびにプロトコルの決定は、個々のウサギの臨床症状ならびにサブタイプに基づいて行う必要がありますが、ウサギの動物の解剖学および生理学に関する知識(食糞や有色尿など)、体調の評価、治療薬剤に対する副作用の対応知識を十分に理解し、さらに静脈確保の技術も習得しないといけません〔Van Zeeland 2017〕。しかし、グルココルチコイド療法は、この一連の症例におけるウサギの治療プロトコルにおいて不可欠な薬剤ですが、脂肪肝などの基礎疾患がない限り、重大な副作用は比較的低いと考えられています〔Robertson et al.2022〕。現在の時点では、治療に使用する薬剤はもちろんのこと最適な投与量と投与頻度も決定されていませんので、予後を予想することさえも困難です。ウサギでの化学療法剤による副作用が発現した場合、生体に対するダメージも大きく、致命的になりやすい可能性があります。もちろん寛解という基準もウサギでは無いことも治療の積極性を鈍らせます。
一般的にウサギにおいて診断されるDLBCLの症例では、犬で行われる多剤併用化学療法またはLアスパラギナーゼ、ビンクリスチン、シクロホスファミド、ドキソルビシン、ならびにプレドニゾンのプロトコール〔Childress et al.2018〕が選択されます。カリフォリニア大学で受診されたリンパ腫のウサギでの化学療法を受けた例の薬剤の選択ならびに薬用量、その予後について記載されていますので、その一部を紹介します。ただし本記載に関しても決定的なものではなく、あくまでも症例報告で終わっていることに留意して欲しいです。
免疫表現型検査まで行い、DLBCLと診断されたウサギの7例のうち3例が化学療法を受けていました。症例2(5歳のウサギ(FS)/右顔面の腫瘤および触診可能な腹腔内腫瘤)は、継続的にプレドニゾロン(0.5 mg/kg BID PO)とトリメトプリム スルファメトキサゾール(30mg/kg BID PO)が投与され、化学療法剤としてドキソルビシン(1mg/kg IV) を3週毎に計4回行われ、反応は臨床的に有意で、顔面腫瘤はサイズが著しく減少し、触知可能な腹部の腫瘤は腹部内で識別することがより困難になり、肺結節は X 線写真では消失しました。しかし、4回目のドキソルビシンの投与から3週間後に、心雑音が認められましたが(安楽死の剖検では心筋細胞の損傷が確認され、化学療法投与に続発するものも考えられましたが〔Singal et al.1998,Batist et al.2001,Zhang Y-W et al.2009,Shi et al.2011〕、潜在的にウサギに自然発症する心筋症やうっ血性心不全もありえるため〔Working et al.PK,Newman 1999,Shenasa et al.1990,Arai et al.1998,Gava et al.2013〕、ドキソルビシン関連の心臓毒性の完全な関連性は不明でした。しかしながら、代替の化学療法薬としてロムスチン(70mg/m2 PO)が12週目に投与されましたが症状の改善が見られず、14週目にLアスパルギナーゼ (400 U/kg SC)を投与しましたが改善はありませんでした。次いで16週目にビンブラスチン(1.6mg/m 2 IV)が投与されましたが、副作用として白血球減少症が発症しました。犬や猫におけるビンブラスチン投与では胃腸症状(嘔吐や下痢)以外にも骨髄抑制が起こることで有名です〔Tomiyasu et al.2010〕。症例2の白血球減少症は、偽好中球数の減少(1258/μL)を伴う中等度の総白血球数減少(2610 /μL)が17週目に発生し、ピークは18週目に見られ (総白血球数1906 /μL、偽好中球数915/μL)、そして21週目に回復しました。次にシクロホスファミド(200mg/m2 IV)の投与行ったところ、一般状態が低下し続け、約5ヵ月目に安楽死が選択されpあました。剖検により、右上顎および皮下組織以外にも両側の鼻腔、脾臓、大網、空腸、回腸、虫垂、右下顎リンパ節、咽頭リンパ節、肝臓、膵臓、 肺、腎臓にもDLBCLが確認されました。症例4(4.5歳のウサギ(MC)/3日間の食欲と排泄低下、腸管膜リンパ節の腫大と腸の腫瘤)は、Lアスパラギナーゼ (400U/kg SC)の投与を行いましたが、治療の1 週間後、臨床的な改善や反応は認められず、次いでビンクリスチン(0.29mg/m2 IV)の投与が試されましたが、翌朝には徐々に状態が悪化し、診断から8日目に安楽死が選択されました。剖検により、盲腸、盲腸リンパ節、脾臓、肝臓、空腸、腎臓、肺、骨髄に DLBCL が確認されました。症例5(9歳のウサギ(MC)/食欲と活動性の低下見られ、腸管膜リンパ節の腫大と腸の腫瘤)は、Lアスパラギナーゼ(400 U/kg SC)を投与され、2週目にビンブラスチン(1.6mg/m2 )、3週目にシクロホスファミド(200mg/m2 IV)、 4週目にもビンブラスチン(1.6mg/m 2 IV)、5週目にドキソルビシン(1mg/kg、IV) を投与し、8週目と9週目にビンブラスチン(1.6mg/m 2 IV)を投与しました。しかし、腹腔内腫瘤の進行性の腫大が認められ、Lアスパラギナーゼ(400U/kg SC)を11週目にレスキューとして投与し、12週目にロムスチン(70mg/m2PO)を経口投与しました。しかし、ロムスチン投与の約4週間後に状態が悪化したため、診断から120日目に安楽死が選択されました。剖検により、空腸、十二指腸近位、腸間膜リンパ節、縦隔リンパ節、右副腎、肺にDLBCLが確認されました。
細胞診のみで免疫表現型検査は行われずに大細胞リンパ腫と診断された症例1(8歳FS/進行性の食欲の変化ならびに脾腫)は、1週目にLアスパラギナーゼ (400U/kg SC)、 3 週目からロムスチン(70mg/m 2 PO) を3週毎に投与し、計10回の治療を8ヵ月にわたり行いました。断続的な食欲と活動性の低下が残っていたため、ロムスチンの最後の投与後、追加でLアスパラギナーゼ(400U/kg SC)が投与され、その6週間後にドキソルビシン(1.0mg/kg IV) を3週毎に投与しましたが、それ以上の反応が得られず、症状も悪化したため、プレドニゾロン(0.5mg/kg) による緩和療法が約4ヵ月行われましたが、最終的に追跡調査できなくなりました。正確な生存期間は不明でしたが、少なくとも480日以上の生存期間が示唆され、この症例は寛解している可能性も考えられています。
免疫表現型検査まで行った皮膚型リンパ腫の3例(2例は上皮指向性T 細胞リンパ腫、1例は非上皮指向性 T細胞リンパ腫) は異なる治療を受けました。上皮指向性 T 細胞リンパ腫と診断された症例7(8歳MC)は、レチノイイド療法としてアシトレチン(2.7mg/kg SID)が投与されましたが、症状の改善されずに、 2ヵ月目に安楽死を選択されました。上皮指向性T細胞リンパ腫と診断された症例8(6歳MC) にはプレドニゾロン(0.5mg/kg PO BID) が投与されましたが、診断から13日目に死亡しました。非上皮指向性大細胞型T細胞リンパ腫と診断された症例9(7歳)はLアスパラギナーゼ (400U/kg SC)が投与され、投与後 1~2日で食欲の改善という初期反応が見られ、8日目と5週目にロムスチン(70mg/m 2 PO)も投与されました。しかしながら、ロムスチンの2回目の投与から約1ヵ月後、皮膚型リンパ腫の進行と骨盤領域の新たな腫瘤が認められ、食欲も低下し、最初の診断から5ヵ月目に死亡しました。
ウサギの医学 緑書房
参考文献
- Ammersbach M,Delay J,Caswell JL,SmithDA,Taylor WM, BienzleD.Laboratory findings, histopathology,and immunophenotype of lymphoma in domestic ferrets.Vet Pathol45(5):663-673.2008
- Arai M,Tomaru K,Takizawa T et al.Sarcoplasmic reticulum genes are selectively down-regulated in cardiomyopathy produced by doxorubicin in rabbits.J Mol Cell Cardiol30(2):243-254.1998
- Baskin CR,Couto CG,Wittum TE.Factors influencing first remission and survival in 145 dogs with lymphoma:a retrospective study.J Am Anim Hosp Assoc36(5):404-409.2000
- Batist G,Ramakrishnan G,Rao CS et al.Reduced cardiotoxicity and preserved antitumor efficacy of liposome-encapsulated doxorubicin and cyclophosphamide compared with conventional doxorubicin and cyclophosphamide in a randomized,multicenter trial of metastatic breast cancer.J Clin Oncol19(5):1444-1454.2001
- Barthold SW,Griffey SM,Percy DH.Pathology of Laboratory Rodents and Rabbits.John Wiley & Sons.2016
- Bertram CA,Bertram B,Bartel A et al.Neoplasia and tumor-like lesions in pet rabbits (Oryctolagus cuniculus):a retrospective analysis of cases between 1995 and 2019.Vet Pathol58(5):901-911.2021
- Caniatti M,Roccabianca P,Scanziani E,Paltrinier s,Moore PF.Canine lymphoma:Immunohistochemical analysis of fine needle aspiration biopsy,VetPathol33:204-212.1994
- Childress MO,Ramos-Vara JA,Ruple A.Retrospective analysis of factors affecting clinical outcome following CHOP-based chemotherapy in dogs with primary nodal diffuse large B-cell lymphoma. Vet Comp Oncol16(1):E159-E168.2018
- Fisher P,Graham J.Rabbits.In Exotic Animal Formulary.5th ed.Carpenter JW,Marion CJ eds.WB Saunders Co:494-531.2018
- FinoraK.Common paraneoplastic syndromes.Clin Tech Small Anim Pract18(2):123-126.2003
- Finnie JW,Bostock DE,Walden NB.Lymphoblastic leukae0j7lmia in a rabbit:a case report.Lab Anim14(1):49-51.1980
- Fox RR,MeierH,et al.Lymphosarcoma in a rabbit:genetics and pathology.J Natl Cancer Inst45(4):719-729.1970
- Flood-Knapik KE,Durham AC,Gregor TP et al.Clinical, histopathological and immunohistochemical characterization of canine indolent lymphoma.Vet CompOncol11:272-286.2013
- Fournel-Fleyry C,Mangol JP,Bricaire P et al.Cytological and immunological classification of canine malignant lymphomas:Comparison with human nonHodgkinʼs lymphomas.J Com Pathol117:35-59.1997
- Gabor LJ,Malik R,Canfield PJ.Immunophenotypic and histological characterization of 109 cats of feline lymphosarcoma,Aust Vet J77:436-441.1999
- Gava FN,Zacché E,Ortiz EM et al.Doxorubicin induced dilated cardiomyopathy in a rabbit model:an update.Res Vet Sci94(1):115-121.2013
- Gupta BN.Lymphosarcoma in a rabbit.Am J Vet Res37(7):841-843.1976
- Hayden DW.Generalized lymphosarcoma in a juvenile rabbit:a case report.Cornell Vet60(1):73-82.1970
- Ishikawa M,Maeda H,Kondo H, Shibuya H,Onuma M,Sato T.A case of lymphoma developing in the rabbit cecum.J Vet Med Sci69(11):1183-1185.2007
- Jaffe ES,Harris NL,Stein H et al.World Health Organiation classification of Tumours. Pathology and Genetics of Tumours of Haematopoietic and Lymphoid Tissues.IARC Press,Lyon.2001
- Keller KA,Sanchez-Migallon GuzmanD,ReillyC et al.Post-traumatic ocular lymphoma in three rabbits (Oryctolagus cuniculus).J Exot Pet Med28:154-161.2019
- Lymphoma study group of Japanese pathologists.The World Health Organization classification ofmalignant lymphomas in Japan: Incidence of recently recognized entities,Pathol Int50:696-702.2000
- Lucas P,Lacoste H,de Lorimier LP, FanTM.Treating paraneoplastic hypercalcemia in dogs and cats.Vet Med105(5):314-331.2007
- Meier H,Fox RR,Crary DD. Myeloid leukemiai 8 in the rabbit(Oryctolagus cuniculus).Cancer Res32(8):1785–1787.1972
- Moore PF,Rodriguez-Bertos A,Kass PH.Feline gastrointestinal lymphoma:mucosal architecture,immunophenotype,and molecular clonality.Vet Pathol49.658-668.2012
- Non-Hodgekin’s lymphoma classification project:A clinical evaluation of the international lymphoma study group classification of non-Hodgekin’s lymphoma,Blood89:3909-3919.1997
- O’Brien D,Moore PF,Vernau W et al.Clinical characteristics and outcome in dogs with splenic marginal zone lymphoma.J Vet Intern Med27:949-954.2013
- Percy DH,Barthold SW. Pathology of laboratory rodents and rabbits.John Wiley&Sons.2013
- Robertson JA et al.Clinical and pathological findings of rabbits with lymphoma:16 cases(1996-2019).J Am Vet Med Assoc8:260(9):1-10.2022
- Redrobe S.Calcium metabolism in rabbits.Semin Avian Exot Pet Med11(2)94-101.2002
- Reed SD,Shaw S,Evans DE. Spinal lymphoma and pulmonary filariasis in a pet domestic rabbit (Oryctolagus cuniculus domesticus). 21(2):253-256.2009
- Ritter JM,von Bomhard W,Wise AG,Maes RK,Kiupe lM.Cutaneous Lymphomas in European pet rabbits (Oryctolagus cuniculus).Vet Pathol49(5):846-851.2012
- Swerdlow SH,Campo E,Harris NL et al.WHO Classification of Tumours of Haematopoietic and Lymphoid Tissues,IARC Press.Lyon.2008
- Singal PK,Iliskovic N.Doxorubicin-induced cardiomyopathy.N Engl J Med339(13):900-905.1998
- Shenasa H,Calderone A,Vermeulen M et al.Chronic doxorubicin induced cardiomyopathy in rabbits:mechanical,intracellular action potential,and β adrenergic characteristics of the failing myocardium.Cardiovasc Res24(7):591-604.1990
- Shi Y,Moon M,Dawood S,McManus B,Liu PP.Mechanisms and management of doxorubicin cardiotoxicity.Herz36(4):296-305.2011
- TaintorJ,SchleisS.Equine lymphoma.Equine Vet Educ23(4):205-213.2011
- Teske E,Wisman P,Moore PF,van Herrd P.Histologic classification and immunophenotyping of canine non-Hodgekin’s lymphomas : Unexpected high frequency of T-cell lymphoma with B-cell morphology,Experimental hematology22:1179-1187.1994
- TthL A,Olson GA,WilsonE,ReghJE,ClaassenE.Lymphocytic leukemia and lymphosarcoma in a rabbit.J Am Vet Med Assoc197(5):6277-629.1990
- Tinkey PT,Uthamanthil RK,WeisbrothSH.Rabbit neoplasia.In The Laboratory Rabbit,Guinea Pig,Hamster,and Other Rodents.Elsevier Inc:447-501.2012
- Tomiyasu H,Takahashi M,Fujino Y,Ohno K,Tsujimoto H.Gastrointestinal and hematologic adverse events after administration of vincristine, cyclophosphamide,and doxorubicin in dogs with lymphoma that underwent a combination multidrug chemotherapy protocol.J Vet Med Sci72(11):1391-11397.2010
- ZandvlietM.Canine lymphoma:a review.Vet Q36(2):76-104.2016
- Zhang Y-W,Shi J,Li Y-J,Wei L.Cardiomyocyte death in doxorubicin-induced cardiotoxicity.Arch Immunol Ther Exp (Warsz)57(6):435-445.2009
- Van Zeeland Y.Rabbit oncology:diseases,diagnostics,and therapeutics.Vet Clin North Am Exot Anim Pract20(1):135-182.2017
- Valli VE,Jacobs RM,Parodi AL et al:Histological Classification of Hematopoietic Tumors of Domestic Animals. Armed Forces Institute of Pathology,Washington,DC.2002
- Valli VE,Kass PH,SanMyint M et al l.Canine lymphomas:association of classification type,disease stage,tumor subtype,mitotic rate,and treatment with survival.Vet Patho50:738-748.2013
- Valli VE,Vernau W,de Lorimier LP et al.Canine indolent nodular lymphoma.Vet Pathol43:241-256.2006
- Volopich S,Gruber A,Hassan J,Hittmair KM,SchwendenweinI,Nell B.Malignant B-cell lymphoma of the Harder’s gland in a rabbit.Vet Ophthalmol8(4):259-263.2005
- White SD,Campbell T,Logan A et al.Lymphoma with cutaneous involvement in three domestic rabbits (Oryctolagus cuniculus).Vet Dermatol11(1):61-67.2000
- Working PK,Newman MS,Sullivan T,YarringtonJ.Reduction of the cardiotoxicity of doxorubicin in rabbits and dogs by encapsulation in long-circulating, pegylated liposomes.J Pharmacol Exp Ther289(2):1128-1133.1999
- Wang J,Kyaw-Tanner M,Lee C, Robinson WF.Char-acterization of lymphosarcomas in Australian cats using polymerase chain reaction and immunohistochemical examination.Aust Vet J79:41-46.2001
