腫瘍好発動物
ハムスターはペットとして非常に人気がありますが、一方で腫瘍の発生する確率が高い動物とも言われています。

ドワーフハムスターは(腫瘤調査55検体中47件が腫瘍:85%)、ゴールデンハムスター(腫瘤調査58検体中30件が腫瘍:52%)よりも発生率が高いです〔Rother et al.2021〕。ただし、ペットで飼育されている大半の種類はゴールデンハムスターとジャンガリアンハムスターであるため、キャンベルハムスターやロボロフスキーハムスターは飼育頭数が少なく、単に比較したデータがとれていないことも考えられます。

性差
雄での発生の相違はない〔Rother et al.2021〕、またはオスよりもメスの方が多発すると言う異なる意見があります〔Kondo et al.2008,Harkness et al.Van Hoosier et al.1979,Pour et al.1979〕。さらに一部の腫瘍によっても性差があり、乳腺腫瘍はメスに、非定型線維腫はオスに好発します〔Kondo et al.2008〕。
発生年齢
腫瘍発生の年齢は、ペットや実験動物において様々な報告があります。いずれにせよ、高齢になることで腫瘍発生率は高くなります。
ペット
●腫瘍発生平均はゴールデンハムスターでは12(2〜36)ヵ月齢、ドワーフハムスターは13(4〜36)ヵ月齢〔ジャンガリアンハムスターは12(4〜36)ヵ月齢〕〔Rother et al.2021〕
●19.8ヵ月齢〔Kondo et al.2008〕
実験動物
●12ヵ月齢未満での発生は低い〔Pour et al.1979〕
●12ヵ月齢以降に著しく増加する〔Kirkman et al.1968〕
腫瘍の種類によっても発生年齢が異なります。乳腺腫瘍を含む外皮系腫瘍は若い個体で頻繁に報告されていますが、腎臓腫瘍は22ヵ月齢以上でのみ観察されています〔Pogosianz et al.1982,Kondo et al.2008〕。ジャンガリアンハムスターの良性の乳腺腫瘍は、悪性と比べて若い個体で発生します〔Yoshimura et al.2015〕。
腫瘍の種類
外皮系腫瘍(体表腫瘍)が最も多く、次いで造血系腫瘍で〔Rother et al.2021〕、内分泌系、生殖器系、消化器系は比較的発生頻度は低いです。ただし、体表に発生する外皮系腫瘍は発見しやすく、手術を受ける頻度が高いです。そのために調査されやすいことも外皮系腫瘍が最多発する理由かもしれません〔Rother et al.2021〕。ジャンガリアンハムスターは外皮系腫瘍(乳腺腫瘍、非定型線維腫、乳頭腫)が多く、ゴールデンハムスターは造血器腫瘍(形質細胞腫、リンパ腫)が好発します〔Kondo et al.2008〕。腫瘍発生率が最も高い外皮系腫瘍は、ドワーフハムスターの腫瘤の85%(55件中で47件)、ゴールデンハムスターでは52%(58件中で30件)を占め、間葉系よりも大半が上皮性で、良性腫瘍が多いことも特徴です〔Rother et al.2021〕。
外皮系腫瘍
臭腺腫(皮脂腺腫)
発生は稀ですが、オスのドワーフハムスターの腹部臭腺に腺腫(皮脂腺腫)〔Rother et al.2021〕が発生します。臭腺はオスで発達するため、当然オスに好発します〔Van Hoosier et al.1979〕。



悪性の腺癌(皮脂腺癌)では固形の腫瘍が急速に発育します。


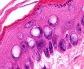
皮脂腺腫
皮脂腺上皮の良性腫瘍で、皮脂の分泌物が貯留し、皮膚を透かして内容物が蜂の巣状に見えるが特徴です。全身のあらゆる箇所に発生します。


乳腺腫瘍
乳腺腫瘍は胸部および腹側腹部の皮下腫瘍として発生します。 ゴールデンハムスターよりも、圧倒的にドワーフハムスターで見られ〔Rother et al.2021〕、メスに多発します〔Kondo et al.2008〕。ジャンガリアンハムスターでは、乳腺腫瘍は他の腫瘍型と比較して若年で発症する傾向があることが知られています〔Kondo et al.2008〕。日本でのペットのメスのジャンガリアンハムスターの腫瘍21頭中12頭(57.1%)が乳腺腫瘍〔Kondo et al.2019〕、ロシアの研究所のジャンガリアンハムスターの個体群では、メスに発生した腫瘍129頭中72頭(55.8%)が乳腺由来で、メスのジャンガリアンハムスター409頭中52頭(12.7%)が乳腺腫瘍を患っていた報告があります〔Pogosianz 1975〕。乳腺腫瘍は腺癌、腺腫、線維腺腫などと診断され〔Rother et al.2021〕、一部の報告では良性が好発するとされています〔Kamino et al.2001,Toft et al.1992〕。


別の研究では、悪性が非常に多いとされています〔Yoshimura et al.2015〕。乳腺癌は硬結な腫瘍で、増殖による進行も早いのが特徴です〔Yoshimura et al.2015〕。


ハムスターの乳腺腫瘍では、アポクリン分泌が認められ〔Yoshimura et al.2015〕、時に病理診断医はアポクリン汗腺の腫瘍と誤診をすることがあります。ハムスターは汗腺を欠いています。
乳頭腫
いわゆる疣贅(イボ)で、皮膚や粘膜に発生し、ウイルス(パピローマウイルス)が原因なることがあります。腫瘍の外貌は特徴的なカリフラワー状をしています。

乳頭腫は基本的に角質が優位な箇所、被毛が薄い領域に発生しやすく、ハムスターでは耳道や耳介、四肢先、陰部周囲などに好発します。耳に発生すると、違和感により、出血を伴った擦過傷が見られます。


ピパピローマウイルスの中にゴールデンハムスター(Mesocricetus auratus)の口腔内に腫瘍をつくるパピローマウイルス(Mesocricetus auratus papillomavirus Type1:MaPV 1)が知られていますが〔Ambrose et al.1975〕、ジャンガリアンハムスター(Phodopus sungorus)の肛門性器に腫瘍を発生させるパピローマウイルス(Phodopus sungorus Papillomavirus Type1:PsPV1)も発見され〔Kocjan B2014〕、MaPV1と密接に関連しています〔Iwasaki et al.1997〕。PsPV1はジャンガリアンハムスターだけでなく、Phodopus属であるキャンベルハムスターやロボロフスキーハムスターにも発生します〔Domjanič et al.2021〕。


扁平上皮癌
顔と四肢に好発する扁平上皮細胞の悪性腫瘍で〔Kamino et al.2001,Valentine et al.2012〕、初期は紅斑を帯びて軽度に膨らむ程度なため腫瘍には見えません。

次第に腫瘍は増殖し、顔に巨大な腫瘍が形成されると醜い外貌になることもあります。転移は稀ですが、局所浸潤が強く、骨融解が起こります。


毛包上皮腫
毛包上皮腫は毛包に分化する細胞の良性腫瘍で、耳道に発生することが多いです。


ゴールデンハムスターにおいて、全身に多発する毛包上皮腫はハムスターポリオーマウイルス(HaPV)が原因になることがあります〔Strandberg 1987〕。しかし、HaPVは主に実験動物間での報告で、ペットの個体での発生は不明です。

黒色腫
黒色を帯びた悪性腫瘍で、ハムスターでの発生は多発するものではありません〔Van Hoosier et al.1979〕。


| 発生 | 腫瘍名 |
| 上皮 | 乳頭腫 |
| 扁平上皮癌 | |
| 毛包 | 毛包上皮腫 |
| 毛芽腫 | |
| 毛包腫 | |
| 毛母腫 | |
| 悪性基底細胞癌 | |
| 皮脂腺 | 皮脂腺腫 |
| 皮脂腺上皮腫 | |
| 皮脂腺癌 | |
| アポクリン腺 | 線維腺腫 |
| 腺腫 | |
| 腺癌 | |
| 癌腫 | |
| その他 | 基底細胞腫 |
| 間葉系 | 線維腫 |
| 線維肉腫 | |
| 粘液肉腫 | |
| 骨肉腫 | |
| 肉腫 | |
| 血管肉腫 | |
| 非典型線維腫 | |
| 線維性組織球腫 | |
| メラノサイト | 黒色腫 |
間葉系腫瘍
間葉系細胞とは幹細胞である中胚葉由来の組織で、骨や軟骨、血管、心筋細胞に分化できる能力をもつ細胞です。特にハムスターでは肉腫の発生が多発します〔Rother et al.2021〕。
線維肉腫
全身の組織にある線維芽細胞の悪性腫瘍で、あらゆる体表に発生する可能性のあります。腫瘍細胞が骨、骨格筋、および皮下組織に浸潤し、硬い腫瘍になります。特に肩や前肢にかけての発生が多く、骨融解を起こしやすいです〔Kondo et al.2008〕。



粘液肉腫
粘液肉腫は線維芽細胞に由来した悪性腫瘍で、ムチンで構成される粘液状のマトリックスを産生します。この腫瘍はどの部位でも発生する可能性があり、ハムスターでは、頬袋や体幹(特に頸周囲)に発生します。腫瘍は大量の粘稠な液体が含まれているため、柔らかいことが特徴です〔Cagnini et al.2011〕。頬袋に発生すると頬袋脱が起こることがあります。


骨肉腫
肘や膝関節に好発し、関節が腫脹する悪性腫瘍です。なお、ハムスターでは人の骨肉腫の実験動物として使われており、高率で肺転移を起こします〔福島ら 1988〕。


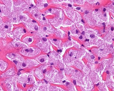
非典型線維腫
神経節細胞に類似する細胞と膠原線維の増生を特徴とする線維腫様腫瘍です。人の増殖性筋膜炎に出現する細胞と類似していることが指摘されています〔藤原 1998〕。主にオスのジャンガリアンハムスターで報告され、アンドロゲン依存性腫瘍であるため、メスの発生は稀です〔Baba et al.2003〕。また、その発生部位の多くが胸腹部で、組織学所見からこの腫瘍を非典型線維腫(Atypical fibroma)と呼ばれています〔Baba et al.2003〕。


この腫瘍はジャンガリアンハムスターの腹側皮膚において多く認められる神経節細胞様(Ganglion cell-like: GL)細胞由来とされ、GL細胞は加齢に伴い発達して拡大します。GL細胞はアンドロゲン依存性の性質を有し、膠原線維の産生能をもつと考えられていますが、その存在意義や役割、そして非典型線維腫の発生機序なども不明です。したがって、高齢のジャンガリアンハムスターのオスに多発しますが、基本的に良生腫瘍です。

近年、ロボロフスキーハムスターにおいて、非典型線維腫の発生とGL細胞の存在が報告され〔Johnson et al.2014〕、GL細胞の存在は種特異的なものではなく、ジャンガリアンハムスターを含む Phodopus属に共通して存在するものと考えられています。一部で悪性の非定型線維肉腫の報告もありますが、稀です〔Kondo et al.2011〕。
造血系腫瘍
造血腫瘍は主にゴールデンハムスターに発生し、比較的若い個体でも見られます。33%は生後6ヵ月齢以下での発生という報告もあります〔Rother et al.2021〕。
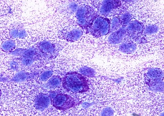
リンパ腫
リンパ腫は悪性腫瘍で、ゴールデンハムスターに多発します〔Ernst et al.1989,Strauli et al.1982〕。多くは顎下リンパ節の発生で、次いで腸間膜リンパ節、まれに球後や精巣で発生します〔Rother et al.2021〕。

リンパ腫のタイプによっては、末梢リンパ節以外に、皮膚、肝臓、脾臓、消化管などの内臓にも波及します〔Toft 1992,Simmons et al.2001〕。ゴールデンハムスターのリンパ腫ではウイルスによる発生も知られ、ハムスターポリオーマウイルス(HaPV)によって引き起こされます〔Barthold et al.2016〕。リンパ腫はB細胞由来が多いとされています〔Coggin et al.1983〕。なお、ドワーフハムスターでのリンパ腫の発生は稀です。また、ゴールデンハムスターの皮膚型リンパ腫が有名で、多くはT細胞由来の上皮向性リンパ腫と診断されます〔Harvey et al.1992〕。

腫瘍発生のハムスターポリオ―マウイルス
ハムスターポリオーマウイルス(Hamster polyomavirus: HaPV/Mesocricetus auratus polyomavirus Type1:MaPV)は実験動物のゴールデンハムスターに腫瘍を発生させる感染力の高いウイルスです〔Ambrose et al.1975,5Coggin, et al.1981,Graffi et al.1969〕。HaPVは未分化のケラチノサイトとリンパの両方に感染する能力を備え、感染することで毛包上皮腫あるいはリンパ腫が発生します〔Graffi et al.1969,Joe et al.2001〕。特に若い個体に感染すると、腸間膜で増殖し、肝臓、腎臓、胸腺に転移する多中心性方リンパ腫を容易に誘発します〔Percy et al.1993,Ponder et al.1981〕。HaPVは感染したハムスターからの尿による環境汚染によって蔓延すると考えられています〔Percy et al1993〕。実験感染では感染ハムスターから新生児に接種すると、リンパ腫と白血化を誘発し、腫瘍の発生率は30-80%と高く、潜伏期間は4-8週間と短かかった報告もあります〔Scherneck et al.1990〕。なお、これまで実験動物のコロニーでの発生でしたが、2001年にペットのゴールデンハムスターにMaPVによる精巣上体の多中心性リンパ腫の発生が報告されました〔Simmons et al.2001〕。
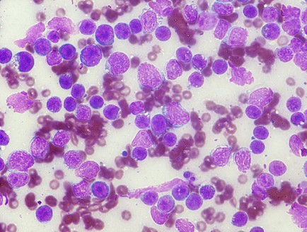
形質細胞腫
ハムスターは髄外形質細胞腫が下顎腺に発生し、主にゴールデンハムスターに見られます。頸部腹側の腫瘍して発見され、顎下リンパ節のリンパ腫と誤診されがちです〔Munday et al.2005,Kondo et al.2008〕。

肥満細胞腫
肥満細胞腫瘍の多くが皮膚腫瘍として発生されます〔Rother et al.2021〕。ジャンガリアンハムスターは犬猫よりも発生率がわずかに高い報告もあり、腫瘍は頭頸部に好発します〔Nishizumi et al.2021〕。

ゴールデンハムスターは全身に多発性に発生することが多いです。
予後判定のためのグレード分類は、ハムスターでは確立されていませんが、ジャンガリアンハムスター〔Nishizumi et al.2021〕、ゴールデンハムスター〔Eltahir M. Mohamed et. al.2016〕で、犬の分類に準ずると転移の可能性が低い高分化型および成熟細胞と報告されています。

胸腺腫
胸腺腫は良性腫瘍で、ハムスターでの発生は稀です。一部でゴールデンハムスターでの報告がある位です〔Rother et al.2021〕。
生殖器系腫瘍
メスの卵巣や子宮に腫瘍が多発します。大半は陰部からの悪露や出血性分泌物で発見され、超音波検査で下腹部の腫瘍が発見されます。
卵巣腫瘍
卵巣腫瘍の中でも、顆粒膜細胞腫〔Golbar et al.2011,Sato et al.2004〕が最も多く診断されます。卵巣腫瘍は子宮腫瘍をはじめとする子宮疾患と併発していることが多いです。

子宮腫瘍
陰部からの悪露や出血性分泌物で発見され、超音波検査で下腹部の腫瘍として確認されます。病理組織学的検査で、乳頭腫〔Rother et al.2021〕、内膜のポリープ〔Rother et al.2021〕、腺癌〔Rother et al.2021,Kondo et al.2008,〕、平滑筋腫〔Kondo et al.2008,〕、平滑筋肉腫〔Rother et al.2021,Kondo et al.2007〕、子宮間膜の扁平上皮癌〔Rother et al.2021〕などと診断されます。
内分泌系腫瘍
副腎、甲状腺、下垂体にも腫瘍が発生します。甲状腺以外の内分泌腺は生前診断は難しく、摘出も容易でないため、死後の剖検で発見されるものが多いです。
副腎腫瘍
ハムスターでは副腎皮質腺腫ならびに過形成が好発し〔Brown et al.2012〕、その他、副腎皮質腺癌〔Bauck et al.1984〕、褐色細胞腫〔Kondo et al.2008〕などの報告もあります。副腎腫瘍はオスの方が好発すると言われています〔Kamino et al.2001〕。副腎腫瘍により副腎皮質ホルモンの過剰分泌が起こると、副腎皮質機能亢進症が見られます。
甲状腺腫瘍
ハムスターの甲状腺腫瘍は癌腫と診断されることが大半です〔Quimby et al.1982,Tanaka et al.1991〕。腹側頸部と頭蓋胸部に発生する腫瘍として、頸部が腫大して発見されます〔Rother et al.2021〕。発生は加齢とともに増加し〔Tanaka et al.1991〕、腺両葉が腫瘍化を示し、肺などに転移することは稀です〔Quimby et al.1982〕。
下垂体腫瘍
発生は稀ですが、ゴールデンハムスターの下垂体の腺腫の報告があります〔Bauck et al.1984,Rother et al.2021〕。
消化器系腫瘍
頬袋腫瘍
頬袋に線維肉腫〔Bennett 2012〕と粘液肉腫〔Friedell et al.1960,Bennett 2012〕が発生し、頬頸部にかけて腫大したり、あるいは頬袋脱が起こることもあります〔Rother et al.2021〕。
唾液腺腫瘍
頬が腫大して発見されますが、唾液腺膿瘍が多発し、稀ですが病理検査で悪性の腺癌と診断された報告があります〔Rother et al.2021〕。
その他内臓腫瘍
ハムスターの原発性の内臓腫瘍の発生は多いとは言えませんが、剖検で偶発的に発見されます。生前診断では腹部膨満のハムスターが超音波検査において、肝臓や腎臓の腫瘍化することで発見されます。
肝臓腫瘍
肝臓癌、肝臓および脾臓の血管腫〔Kirkman et al.1968〕の報告があります。

腎臓腫瘍
腺癌および腎芽腫〔Kirkman et al.1968〕の報告があります。

手術した方が長生きするのか?
手術後の生存期間は0日から672日以上という報告もあり、一概に言えません。外皮系腫瘍のあーハムスターの生存期間の中央値は350日で、生殖器系では120日でした。つまり、体表の腫瘍と腹腔内腫瘍の摘出手術でも異なり、同じ腫瘍の2頭の摘出手術においても、1頭は30日生存し、もう1頭は術後168日でもまだ生きていました〔Fortner et al.1960〕。手術の決定要因は、腫瘍の種類と進行具合、ハムスターの年齢および体力、そして獣医師の手術スキルになります。麻酔や手術のリスクとは、麻酔から覚醒せずに死亡すること以外に、術後に体力がなくなって衰弱することなども含まれています。

腫瘍の種類と進行具合
悪性腫瘍ならびに転移が確認されているハムスターは、体表の良性腫瘍の摘出手術と比べると、麻酔からの覚醒が悪く、死亡する確率が高いです。また、腫瘍がハムスター自信の頭部よりも大きいと手術時間も長くなり、麻酔や手術のリスクが高くなります。

ハムスターの年齢と体力
ハムスターの寿命は約2年です。1.5歳以上は高齢扱いになりますので、麻酔や手術は1 .5歳以下ならば推奨できます。高齢のハムスターならば、飼い主にもリスクを理解した上で行わないといけません。例え腫瘍が摘出できても、ハムスターが衰弱して死亡したら、手術が成功とは言えません。

獣医師のスキル
獣医師によって手術のスキルが異なります。他にも麻酔に耐えらえる体力がハムスターにあるのか、すでに腫瘍の転移があると麻酔で死にやすくなります。”短時間で麻酔を終わらす” ”麻酔に耐えられるのか” ”転移しているのか”総合的に手術を決断する必要があります。その上で手術のスキルを提供し、腫瘍摘出を成功させます。

腫瘍予防にこのサプリメントはいかがですか?
日本全薬工業 アガリクスバイオ スーパーリキッド 犬猫用 30mL
ポチップ
えっ!腫瘍に効くの?値段も高いが効果も・・・マイタケから抽出されたβグルカンの液体のサプリメントです。βグルカンは免疫力を高め、内臓や皮膚の状態を高める効果が科学的に証明され、特に腫瘍の代替医療として注目が集まっています。抗がん剤は副作用が強くでるため、あまり使いたくありません。代わりにアガリクスバイオを処方する獣医師が多いです。動物病院専用商品
参考文献
- Ambrose KR,Coggin JH.An epizootic in hamsters of lymphomas of undetermined origin and mode of transmission.J Natl Cancer Inst 54:877-887.1975
- Baba Y,Takahashi K, Nakamura S.Androgendependent atypical fibromas spontaneously arising in the skin of Djungarian hamsters(Phodopus sungorus).Comp Med53:527–531.2003
- Bauck L,Orr JP,Lawrence KH.Hyperadrenocorticism in three teddy bear hamsters.Can Vet J25:247-250.1984
- Brown C,Donelly TM.Disease problems of small rodents.In Quesenberry KE,Carpenter JW,eds.Ferrets,Rabbits and Rodents,Clinical Medicine and Surgery.Elsevier,Saunder.St.Louis,MO:354-372.2012
- Barthold SW,Bhatt PN, Johnson EA.Further evidence for papovavirus as the probable etiology of transmissible lymphoma of Syrian hamsters.Lab Anim Sci 37:83-288.1987
- Barthold SW,Griffey SM,Percy DH.Hamster.Pathology of laboratory rodents and rabbits.John Wiley Sons Inc.Chichester:p173-198.2016
- Bennett RA.Soft tissue surgery.In Quesenberry KE,Carpenter JW eds.Ferrets,rabbits and rodents–clinical medicine and surgery.Elsevier.St.Louis MO:p373-391.2012
- Cagnini D et al.Cutaneous myxosarcoma in a Syrian hamster(Mesocricetus auratus).SEMINA:CIENCIAS AGRARIAS32(3):1145-1149.2011
- Coggin JHOakes JE,Huebner RJGilden R.Unusual filterable oncogenic agent isolated from horizontally transmitted Syrian hamster lymphoma.Nature290:336-338.1981
- Coggin JH Jr et al. B-cell and T-cell lymphomas and other associated diseases induced by an infectious DNA viroid-like agent in hamsters(Mesocricetus auratus).Am J Pathol110:254-226.1983
- Domjanič GG.First Report of Phodopus sungorus Papillomavirus Type 1 Infection in Roborovski Hamsters (Phodopus roborovskii).13(5):739.2021
- Eltahir M.Mohamed et.al.Histopathological,Enzyme – histochemical and Immunohistochemical Diagnosis of Mast Cell Tumors in the Skin of Golden Hamster.Journal of Agricultural and Veterinary Sciences Qassim University9(1):15-22.2016
- Ernst H,Kunstyr I,Rittinghausen S,Mohr U.Spontaneous tumours of the European hamster (Cricetus cricetus L.).Z Versuchstierkd32:87-96.1989
- Fortner JG,George PA、Sternberg SS.Induced and spontaneous thyroid cancer in the Syrian (golden) hamster.Endocrinology6:364-376.1960
- Friedell GH,Oatmann BW,Shermann JD.Report of a spontaneous myxofibrosarcoma of the hamster cheek pouch.Transplant Bull7:97-100.1960
- Golbar HM,Izawa T,Kuwamura M,Okamura K,Fujita D,Tagami Y,Sasai H,Yamate J.A collision tumor consisting of granular cell tumor and adenocarcinoma in the uterus of an aged djungarian hamster.J Toxicol Pathol24(4):233-7.2011
- Graffi A,BenderE,Schramm T,Kuhn W,Schneiders F.Induction of transmissible lymphomas in Syrian hamsters by application of DNA from viral hamster papovavirus-induced tumors and by cell-free filtrates from human tumors.Proc Natl Acad Sci USA64:1172-1175.1969
- Harkness JE,Wagner JE.The biology and medicine of rabbits and rodents.Harkness JE,Wagner JE eds.Williams and Wilkins.Philadelphia.PA:p171-322.1995
- Harvey RG,Whitbread TJ,Ferrer L.Epidermotropic cutaneous T-cell lymphoma (mycosos fungoides) in Syrian hamsters (Mesocricetus auratus).A report of six cases and the demonstration of T-cell specifity.Vet Dermatol3:13-19.1992
- Iwasaki T,Maeda H,Kameyama Y,Moriyama M,Kanai S,Kurata T.Presence of a novel hamster oral papillomavirus in dysplastic lesions of hamster lingual mucosa induced by application of dimethylbenzanthracene and excisional wounding:molecular cloning and complete nucleotide sequence.J Gen Virol78:1087-1093.1997
- Joe H,Simmons et al.Hamster Polyomavirus Infection in a Pet Syrian Hamster(Mesocricetus auratus).Veterinary Pathology38(4):441-446.2001
- Johnson JG 3rd,Blair R,Brandão J,Tully TN Jr,Gaunt SD.Atypical fibrosarcoma in the skin of a Roborovski hamster (Phodopus roborovskii).Vet Clin Pathol43(2):281-284.2014
- Kamino K,Tillmann T,Mohr U:Spectrum and age-related incidence of spontaneous tumours in a colony of Han: AURA hamsters.Exp Toxicol Pathol52:539-544.2001
- Kamino K,Tillmann T,Mohr U.Spectrum and age-related incidence of spontaneous tumours in a colony of Han:AURA hamsters.Exp Toxic Pathol52:539-544.2001
- Kirkman H,Algard FT.Spontaneous and nonviral-induced neoplasms.In The golden hamster,its biology and use in medical research.Iowa State University Press.Ames,IA.Hoffmann RA,Robinson PE,Magahaes H.eds:p227-240.1968
- Kocjan BJ.Complete Genome Sequence of Phodopus sungorus Papillomavirus Type1(PsPV1),a Novel Member of the Pipapillomavirus Genus,Isolated from a Siberian Hamster.Genome Announc2(2):e00311-14.2014
- Kondo H,Onuma M,Shibuya H et al.Spontaneous tumors in domestic hamsters.Vet Pathol45(5):674–680.2008
- Kondo H,Onuma M,Shibuya H,et al.Morphological and immunohistochemical studies of spontaneous mammary tumours in Siberian hamsters(Phodopus sungorus).J Comp Pathol140(2–3):127-131.2009
- Kondo H et al.Spontaneous Fibrosarcoma in a Djungarian Hamster (Phodopus sungorus).Comp Med58(3):294-296.2008
- Kondo H,Kimoto H,Shibuya H,Shirai W,Matsuo K,Sato T.Spontaneous uterine leiomyosarcoma in a golden hamster (Mesocrietus auratus).J Vet Med A Physiol Pathol Clin Med54:27-29.2007
- Kondo H,Onuma M,Shibuya H,Sato T,Abbott JR.Atypical Fibrosarcomas Derived from Cutaneous Ganglion Cell-Like Cells in 2 Domestic Djungarian Hamsters(Phodopus sungorus).J Am Assoc Lab Anim Sci50(4):523-525.2011
- Meredith A,Johnson Delaney C.Manual of exotic pets.BSAVA.Gloucester,UK.2010
- Munday JS et al.Extramedullary plasmacytoma of the salivary gland in two Syrian hamsters(Mesocricetus auratus).Vet Pathol42(6):819-23.2005
- Nishizumi N,Fujiwara K,Hasegawa A.Cutaneous mastocytomas in Djungarian hamsters.Comparative Study Exp Anim49(2):127-130.2000
- Percy DH,Barthold SW.Hamster.In Pathology of Laboratory Rodents and Rabbits:p115-136.Iowa State University Press.Ames IA.1993
- Ponder BA,Wilkinson MM.Inhibition of endogenous tissue alkaline phosphatase with the use of alkaline phosphatase conjugates in immunohistochemistry.Histochem Cytochem29:981-984.1981
- Pogosianz HE.Djungarian hamster—a suitable tool for cancer research and cytogenetic studies.J Natl Cancer Inst54(3):659664.1975
- Pour P,Mohr U,Althoff J,Kmoch N.Spontaneous tumors and common diseases in two colonies of Syrian hamsters.III.Urogenital system and endocrine glands.J Natl Cancer Inst56:949-961.1976
- Pour P,Birt D.Spontaneous diseases of Syrian hamsters-their implications in toxicological research: Facts, thoughts and suggestions.Prog Exp Tumor Res24:145-156.1979
- Pogosianz HE,Sokova OI.Tumours of the Djungarian hamster.In Pathology of tumours in laboratory animals.vol3.Tumours of the Hamster.Turusov VS ed.IARC Scientific publications.Lyon,France:451-455.1982
- Quimby F,Nunez N,Finlay B,Lok B.Adenocarcinoma of the thyroid gland parafollicular C-cells in Djungarian hamsters (Phodopus sungorus).Lab Anim Sci32:413.1982
- Rother N et al.Tumours in 177 pet hamsters Vet Rec188(6):e14.2021
- Sato T,Takada M,Shibuya H,Shirai W,Matsuo K.A malar granular cell tumor in a djungarian hamster Case Reports J Vet Med A Physiol Pathol Clin Med 51(1):23-26.2004
- Strandberg JD.Neoplastic diseases.In Laboratory hamsters.Hoosier GL,McPherson CW eds.Academic Press.New York:p157-68.1987
- Simmons JH,Riley LK,Franklin CL.Hamster polyomavirus infection in a pet Syrian hamster(Mesocricetus auratus).Vet Pathol38:441-446.2001
- Strandberg JD.Neoplastic diseases.In Laboratory hamsters.Hoosier GL,McPherson CW ed.Academic Press.New York:p157-168.1987
- Strauli P,Mettler J.Tumours of the haematopoietic system.In Tumours of the hamster.Turusov VS ed.International Agency for Research on Cancer.Lyon,France:p343-369.1982
- Scherneck S,Feunteun J.The hamster polyomavirus–a brief review of recent knowledge.Arch Gescheulstforsch60(4):271-278.1990
- Tanaka A,Hisanaga A,Ishinishi N.The frequency of spontaneously occurring neoplasms in the male Syrian golden hamster.Vet Hum Toxicol33:318–321.1991
- Toft JD.Commonly observed spontaneous neoplasms in rabbits,rats,guinea pigs,hamsters and gerbils.Sem Avian Exot Pet Med1:80–92.1992
- Yoshimura H et al.Characterization of Spontaneous Mammary Tumors in Domestic Djungarian Hamsters (Phodopus sungorus).Veterinary Pathology52(6).2015
- Yoshimura H,Kimura-Tsukada N,Ono Y,Michishita M,Ohkusu-Tsukada K,Matsuda Y et al.Characterization of spontaneous mammary tumors in domestic Djungarian hamsters(Phodopus sungorus).Vet Pathol52:1227-1234.2015
- Van Hoosier GL,Jr,Trentin JJ.Naturally occurring tumors of the Syrian hamster.Prog Exp Tumor Res23:1-12.1979
- Valentine H,Daugherity KE,Singh B.The experimental use of Syrian hamsters.In The laboratory rabbit,guinea pig,hamster,and other rodents.Suckow MA,Stevens KA,Wilson RP eds Elsevier.Oxford,UK:875-906.2012
- 福島博ら.総説;ヒ卜骨肉腫の実験モデルとしてのべリリウム骨肉腫とハムスター骨肉腫について.山梨医科大学雑誌3(2):39-46.1988
- 藤原公策: 伴侶動物の臨床病理組織学アトラス II(ハムスター・兎類・小鳥類など):44-45.1988
