えっ治らないの?
インスリノーマは血糖値が低くなる病気です。犬や猫に比べてフェレットのインスリノーマの発生率は高いことが有名です。しかし、インスリノーマなんて聞きなれない病名ですよね。
なぜなるの?
膵臓のβ細胞の過形成(細胞の増殖)や腫瘍化が原因でインスリンが過剰に分泌して低血糖の症状が繰り返して起こります。インスリンは、グルコースの組織取り込みを増加させ、肝臓の糖新生を減少させ、血糖値をに低下させるホルモンです。腫瘍は環境要因と遺伝要因が組み合わさるきとが原因です。炭水化物が多いエサが指摘され、そして腫瘍を引き起こす遺伝要因がフェレットでは潜在していると考えられています(多発性内分泌腫瘍症:MEN Multiple Endocrine Neoplasia type)〔Chen 2008,Miller et al.2014〕。人でも多発性内分泌腫瘍症では、ホルモンを分泌する副甲状腺、膵臓、脳下垂体、副腎などに腫瘍ができます。一つだけの臓器でなく複数の異常があらわれてくることが多いです。フェレットでもインスリノーマと副腎腫瘍などが併発しているのは、多発性内分泌腫瘍症が関与しているからでしょう。
どんな病気なの?
5~6歳以降に発生し、病状も個体差があり、数ヵ月にわたり無症状あるいは慢性経過をとるフェレットも少なくないです〔Chen 2008,Chen 2010,Weiss et al.1998〕。なお、多くの腫瘍は良性ですが、まれに悪性になることがあります。初期の低血糖は無症状ですが、以下のような症状が次第に起こります〔Chen 2008,Chen 2010,Weiss et al.1998〕。
- なんとなく元気がない
- ボーとする
- 寝ている時間が増える
- 後足のふらつき
- ヨダレ
- 体重減少
- 意識レベルの低下
- 痙攣発作
最初に症状が現れるのは異常行動です。なんとなく元気がなかったり(脱力感)、吐き気、数分間動きを止めてボーと宙を見つめたり(無反応行動)、泡を吹いたり、口の中に何か入っている感じで前足で口の周辺をかいたりします。一般的に、フェレットは血糖値が下がりやすい目覚めた直後、または数分間の活発な遊びの後に起こります〔Bell 1999〕。

後肢のふらつきもよく起こります。しかし、この行動は短時間しかおこらずに、数分後には元に戻りますが、行動の異常の発現は次第に短くなります。軽症例では数ヵ月に1回くらいなので気づきません〔Buchanan et al.2003〕。症状が進行すると、さらに元気がなくなり、寝ている時間が増えて、衰弱して痩せてきます。

これらの症状は、血糖値が低くなる朝の寝起きや運動後に見られることが多いです。重度の低血糖になると脳障害を起こします。脳の中枢神経系は正常な機能のために血糖に依存しています。脳が正常に働かなくなると、痙攣発作や昏睡などの神経症状が見られます。重度の低血糖症の繰り返しの痙攣発作は、永続的な脳の損傷を引き起こします。

どうやって診断するの?
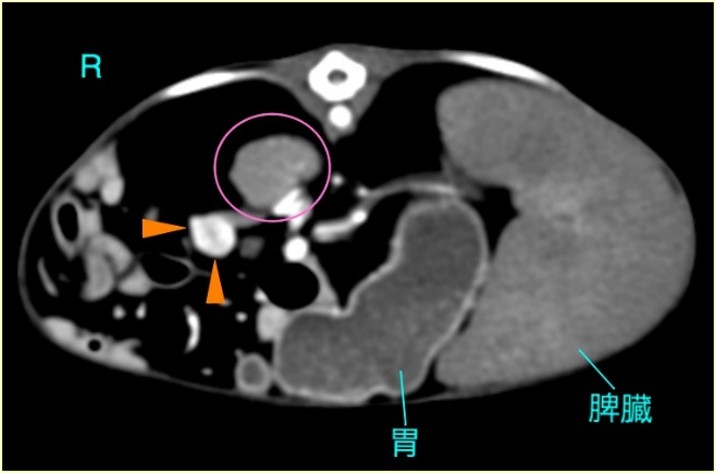
インスリノーマは特異的な症状と血液検査で低血糖の確認をします。膵臓に発生した腫瘍の多くは数mmのサイズなので、レントゲン検査や超音波検査ではみつかりません。詳細はCT検査になります。

治療は?
インスリノーマはどのように管理していくかで、余命に深く関与します。低血糖の発生を最小限に抑えることが目標になります。完治させる方法の一つとして外科手術があげられますが、複数に腫瘍が発生している場合は、完治は難しいです。具体的には頻繁に餌を与えて血糖値を上げる方法や低血糖を最小限にするために投薬をして、進行を遅くする方法なります。痙攣発作などを起こしているフェレットでは外科手術をすることで、一時的にでも発作が減少したり、生活の質が上がる可能性があります。
- 頻繁に餌を与える(強制給餌:きょうせいきゅうじ)
- 内服薬で血糖値を維持させる
- 外科手術
強制給餌
高タンパクの食材をなるべく頻回に与え、状態によってはシリンジなどを用いて強制的に与えます。フェレット用の流動食が販売されているので、粉状の製品をふやかして与えます。特に寝起きや運動後にはなるべく行ってください。



流動食とシリンジはコチラ!
(シリンジ該当商品なし)
イースター セレクションプラス 肉食小動物用クランブル 400グラム
ポチップ
ふやかしてシリンジで口に入れて!
注意して欲しいことは、血糖値が低いので甘い糖類を与えると血糖値が上がると思いがちですが、多量に与えると急激な血糖値の上昇を起こし、リバウンドにより、かえってインスリン分泌を促します。日常生活の中での投与は避けるべきです。強制給餌でも低血糖症状が頻繁にみられる時は、内服薬の投与を併用して行ってください。
緊急時にそろえておいて!
発作が起こったことを考えてブドウ糖でなく、フェレットバイトやニュートリカルなどの糖類が配合されているサプリメントを唇や歯茎または口の隅に置いて舐めたり飲み込んだりする方法も薦められtrいますが、ニュートリカルの方がブドウ糖やフェレットバイトよりも治療効果があります。これは糖類に加えて脂肪が含まれているため、ゆっくりと吸収および代謝され、血糖値を安定したレベルに維持します。糖類またはニュートリカる緊急治療の後には、流動食を与えて下さい。
フェレットバイト
エイト イン ワン (8 in 1) フェレットバイト ビタミンペースト 120g
エイト イン ワン (8 in 1)¥12,980 (2025/12/13 16:02時点 | Amazon調べ)ポチップ
フェレット用の高カロリーのサプリメントで、オメガ脂肪酸、タウリン、ビタミン、ミネラルが含まれています。麦芽シロップと糖蜜のためフェレットの99%がこのサプリメントを好みますので、しつけのご褒美として与えられています。しかし、 肥満になることと、インスリノーマのフェレットへ与えるには注意が必要です。
あるいはブドウ糖を使うにせよ、砂糖よりも果糖(フルクトース)を使用するべきです。血糖値の上昇が急でなくゆっくりなので、リバウンドが起こりにくいです。
自然健康社 果糖 1kg 粉末 フルクトース
ポチップ
インスリになってしまったら果糖を用意しておこう!
発作が起こりやすくなったら、空腹時にティースプーン1/3を与えて下さい。
内服薬投与
内科治療の目標は低血糖から起こる症状を緩和することであり、血糖値を常に正常にすることではありません。いくつかの薬があるので、それぞれの副作用を考慮して、獣医師と相談してから投与して下さい。
外科手術
大きな痙攣発作が起こるフェレットには有効かもしれません。外科手術を行うならばCT検査をすることをお薦めします。腫瘍は目にみえないほど小さいこともあり、また複数に発生している場合は、全部が摘出できません。せっかく麻酔をかけて、あまり摘出できなかったということもあります。大きな腫瘍である場合は、それを摘出することで痙攣発作がおさまることが多いです。

フェレットの病気の本ならコレ!
よくわかるフェレットの健康と病気: あなたのフェレットを病気にさせない
ポチップ
解剖や生理そして病気のことが分かりやすくまとまって書いてる本!
参考文献
■Bell JA.eFerret nutrition.Vet Clin North Am Exot Anim Pract2(1).169-92.1999
■Chen S.Pancreatic endocrinopathies in ferrets,Vet Clin North Am Exot Anim Pract11.107-123.2008
■Chen S.Advanced diagnostic approaches and current medical management of insulinomas and adrenocortical disease in ferrets (Mustela putorius furo).Vet Clin North Am Exot Anim Pract13.439-452.2010
■Miller CL,Marini RP,Fox JG.Diseases of the endocrine system.In Biology and Diseases of the Ferret.3rd.Fox JG,Marini RP eds.John Wiley.NY.p377–399.2014
■Weiss CA,Williams BH,Scott MY.Insulinoma in the ferret.clinical findings and treatment comparion of 66 cases, J Am Anim Hosp Assoc34.471-475.1998
