臨床的意義
チンチラの足底部に発生する胼胝(タコ)や潰瘍は、一般に潰瘍性足底皮膚炎あるいはバンブルフット(Bumblefoot)と称される進行性の炎症性疾患です。この病態は単なる皮膚の肥厚として軽視されがちですが、実際には軟部組織の虚血性壊死、二次的な細菌感染、そして深部では骨髄炎に至る一連の壊滅的な病理プロセスを含んでいます。チンチラは本来、南米アンデス山脈の岩場において高度な跳躍力と敏捷性を発揮する動物であり、その足部は過酷な地形に適応した特殊な構造を有しています。しかし、飼育下という制限された環境、特に不適切な床材や運動不足、栄養バランスの偏りといった要因が重なることで、その解剖学的適応が逆に脆弱性へと転じることが明らかとなっています。

解剖
チンチラの足部構造を理解することは、足底皮膚炎の発生機序を解明する上で不可欠です。イヌやネコ、あるいは人間のような霊長類とは対照的に、チンチラを含む多くの齧歯類やウサギは、足底部に厚い脂肪組織を伴う肉球や発達した筋肉層を持ち合わせていません。その代わりに、非常に薄い表皮と真皮が、中足骨や趾骨といった骨構造を直接的に覆う構成となっています。この脆弱な解剖学的構造を保護しているのは、チンチラ特有の極めて密生した被毛です。チンチラの被毛は一つの毛包から80本近くの毛が生えており、これが足底において物理的なクッションの役割を果たしています。しかし、この被毛による保護は、適切な運動と基質(床材)があって初めて機能するものです。持続的な圧迫や摩擦、あるいは湿潤環境によってこの被毛層が物理的に摩耗、あるいは消失(脱毛)すると、下層の薄い皮膚は外部からの機械的ストレスを直接受けることになります。
体重支持のバイオメカニクス
チンチラの正常な後肢の静止姿勢は趾行性に近い形態をとりますが、休息時や着地時には中足骨領域にも負荷が分散されます。野生下での岩場移動においては、不規則な表面形状が足底全体の負荷を動的に変化させ、特定の部位への持続的な圧迫を回避しています。しかし、ケージ内の平坦な床材や金網の上では、体重の大部分が中足骨の骨突出部(特に尾側)に集中し、局所的な圧力が毛細血管の灌流圧を上回る事態を招きます。この力学的負荷の不均衡こそが、潰瘍性足底皮膚炎の初発因子となります。

病態生理学
足底皮膚炎の根底にある病理プロセスは無血管性壊死です。中足骨や趾骨と硬い飼育床の間に挟まれた皮膚および軟部組織は、持続的な圧迫を受けることで血管が虚脱し、局所的な虚血に陥り、細胞は壊死します。真皮の深層から表皮にかけて壊死が進行し、外見上は胼胝(タコ)のような角質化や、その後の潰瘍化として現れます。壊死した皮膚組織は、外部環境の細菌にとって格好の増殖基質となります。初期の無菌的な炎症状態から、皮膚のバリア機能が破綻することで、環境中の細菌や皮膚常在菌による二次感染が成立します。最も頻繁に関与する病原体は Staphylococcus aureusで、さらなる組織破壊と膿瘍形成を助長します。感染が深部に達すると、炎症は腱鞘、滑液包、そして最終的には骨膜や骨髄へと波及し、全身性の敗血症を招くリスクも生じます。
グレード分類
チンチラの足底皮膚炎は、その重症度と組織浸潤の深さに応じて段階的に分類されます。臨床における適切な治療方針の決定および予後判定のためには、以下の5段階(Grade I〜V)のグレーディングシステムを用いることが推奨されます 。
| グレード | 状態 | 症状 | 病理学的関与 |
| Grade I | 初期病変(早期) | 足底の軽度な発赤(紅斑)、被毛の希薄化または消失 | 表皮および真皮浅層に限局 |
| Grade II | 軽度疾患 | 顕著な紅斑、組織の浮腫(腫脹)、皮膚の菲薄化または初期の角質増殖 | 皮下組織への波及 |
| Grade III | 中等度疾患 | 皮膚の潰瘍、痂皮の形成、漿液性滲出 | 深在性筋膜および軟部組織 |
| Grade IV | 重度疾患 | 膿瘍の形成、深部組織の壊死、腱炎、または広範な化膿性炎症 | 腱、靭帯、深部軟部組織 |
| Grade V | 最重度・末期 | 骨髄炎、骨の融解・変形、関節炎、歩行機能の喪失 | 骨組織(骨膜・骨髄) |
各病期における臨床的詳細
病期における臨床的詳細Grade I ~ II の段階では、チンチラは顕著な跛行を見せないことが多く、飼い主が異常に気付くのは困難です。この段階では、足裏を確認すると特定の加重部位(特にかかと側の中足骨隆起部)がピンク色から鮮紅色に変色しているのが観察されます。適切な環境改善介入を行えば、この段階での回復は十分に可能です。
Grade III に進展すると、疼痛が顕在化し、チンチラの活動性は著しく低下します。潰瘍部は肉芽が見えることもあれば、暗褐色の厚い痂皮に覆われていることもあります。この痂皮を不用意に剥がすと激しい出血を伴うため、注意が必要です。
Grade IV 以上では、足部全体が大きく腫れ上がり、排膿が見られる他、触診に対して激しい痛み反応を示します。この段階では、もはや不可逆的な変化が生じており、正常な歩行機能への回復予後は慎重から不良となります。

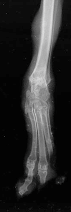
診断・検査
視診に基づくグレーディングに加え、深部組織への波及を確認するための多角的な検査が必要となります。感染が疑われる場合は、病変部からの培養および感受性試験を行います。Grade IV および V の疑いがある場合、X線検査は必須となります。骨の融解、骨膜の反応、関節腔の狭小化や消失を確認します 。中足骨や趾骨の微細な変化を捉えるために、X線よりも感度が高いCT検査が推奨されます。

治療
潰瘍性足底皮膚炎は多因子疾患であり、単に抗菌薬を投与するだけでは、根本的な原因である圧力と虚血が解消されず、再発を繰り返すことになります 。つまり、環境、宿主(個体)、環境、感染(微生物)の三者が複雑に関与しています。臨床における治療を成功させるためには、単に薬を投与するのではなく、これらの因子を一つずつ排除していく必要があります 。
環境整備
飼育環境において最も重要なのは足底にかかる圧力の分散です。金網製の床材は、チンチラの体重をわずかな接地面で支えさせることになり、特定の点に集中的な負荷をかけます。また、硬い平坦な床(タイルやコンクリートなど)も、本来の岩場のような凹凸による負荷分散が行われないため、皮膚の摩耗を早めます。 さらに、湿った環境は皮膚の角質層をふやけさせ、外部刺激に対する抵抗力を劇的に低下させます 。尿に含まれるアンモニア成分は化学的な刺激剤として作用し、皮膚炎を増悪させる一因となります。チンチラは湿度40%以下の乾燥した環境を好む動物で、高湿度環境下では皮膚の恒常性が崩れやすくなることに留意すべきです。
宿主のコンディション改善
肥満は潰瘍性足底皮膚炎の最も重要な宿主側リスク因子の一つです。体重の増加は足底への物理的な負荷を増やすだけでなく、腹部の脂肪蓄積によって活動性が低下し、長時間座り込む不活動のサイクルを生み出します。また、歯科疾患による唾液の漏出や、排泄トラブル(下痢や多尿)による足部の湿潤も、二次的な皮膚疾患を引き起こす大きな要因となります 。
感染と炎症対策
潰瘍性足底皮膚炎における細菌感染は通常、二次的な発生ですが、病態の進行と難治化においては決定的な役割を果たします。そして、疼痛緩和は活動性を高め、結果として局所の血流改善と体重移動を促進します。
局所処置と創傷管理
Grade III 以上の症例では、患部への直接的な荷重を避けるために 患肢に包帯やパッドを施します。これにより、潰瘍部を浮かせた状態で体重を周囲に分散させることができます 。包帯は24〜48時間ごとに交換し、皮膚の蒸れや締め付けに細心の注意を払います。

外科治療
壊死組織を外科的に除去し(デブリードマン)、健全な出血面を出すことで治癒機転を活性化させます。深部に膿瘍が形成されている場合、切開による排膿と、適切なドレナージが必要となります 。骨髄炎が進行し、敗血症のリスクがある場合や、鎮痛が不可能な場合の最終手段として断脚が検討されます。
補助療法
最新の知見低出力レーザー治療(Low-Level Laser Therapy / Cold Laser):波長 800\text{–}900\text{ nm} 程度のレーザーを照射することで、細胞内のミトコンドリアを活性化し、ATP 産生とコラーゲン合成を促進します。これにより、慢性的な潰瘍の治癒が劇的に早まることが報告されています。 高気圧酸素療法(HBOT)は虚血部位への強制的な酸素供給により、細菌増殖の抑制と組織修復を助ける可能性があります
予防
潰瘍性足底皮膚炎は再発率が極めて高く、一度治癒した部位は瘢痕組織となっており、強度が低下しています。したがって、生涯にわたる管理計画が求められます。
栄養管理と体重
チンチラの肥満防止には、高カロリーなペレットの給与量を制限(体重の 1〜2%程度)し、質の高いチモシー牧草を自由採食させることが最も重要です。牧草に含まれる粗繊維は、腸内細菌叢の安定化だけでなく、咀嚼時間の延長によるストレス緩和と活動性の向上にも寄与します。ビタミン C の欠乏は、コラーゲン合成を阻害し、足底の皮膚を脆弱化させる可能性があるため、モルモットほど厳格ではありませんが、バランスのとれた供給が望まれます 。
飼い主による定期モニタリング
週に一度の体重測定:急激な増加は足底への負担増を示唆し、減少は疼痛による採食量低下を示唆します 。抱っこした際や、透明なアクリル板の上を歩かせて下から観察するなどの方法で、赤みの有無を早期に発見します。以前よりも跳躍回数が減った、特定の棚に登らなくなったなどの変化は、足底の違和感の初期兆候である可能性があります。
