背景
シマリスやプレーリードッグなどのリス類の代謝性脱毛は、主に温度や日照時間の影響でホルモンバランスが崩れ、毛周期が異常になることで発生することが知られていました。しかし、その発生要因や治療などについて詳細は全く不明でした。
皮膚生理学と毛周期
小型げっ歯類の皮膚および被毛は、体温調節、物理的保護、およびコミュニケーションにおいて極めて重要な役割を果たしています。特に冬眠を行うシベリアシマリス(Tamias sibiricus)などの種にとって、被毛の状態は生存に直結する代謝状態を反映します。皮膚は、角質層を伴う表皮、コラーゲン繊維に富む真皮、および皮下脂肪組織から構成され、これら各層が代謝シグナルに対して鋭敏に反応します。被毛の動態は毛周期によって制御され、成長期、退行期、休止期の三つの主要なフェーズから成ります。健康なリスでは、これらのフェーズが季節的および生理的なリズムに従って同期またはモザイク状に進行します。代謝性脱毛とは、真菌、細菌、寄生虫といった外部要因による炎症を主因とせず、生体内の生化学的プロセスや内分泌制御の破綻によって毛周期が休止期に留まる、あるいは成長期への移行が阻害される病態を指します。シマリスの代謝率は季節によって劇的に変動します。冬季の休眠期に向けて、個体は秋季に体重を増加させ、代謝率を低下させる準備を行う。トウブシマリス(Tamias striatus)の研究によれば、冬眠中の代謝節約は、単に体温の低下だけでなく、細胞増殖レベルでの抑制を伴うことが示唆されています〔Levesque et al.2010〕。この代謝のシフトは、毛包細胞の角化プロセスやメラニン合成にも影響を及ぼし、環境因子が代謝を介して皮膚の表現型を決定する重要な要因となります。
症状
症状は、顔、体幹、四肢や趾、尾などに見られる左右対称性の被毛喪失です。


多くの場合、皮膚の黒色化(過剰なメラニン沈着)を伴います。

毛包が休止期で停止し、古い被毛が脱落した後に新しい毛が供給されない休止期脱毛に近い状態です。食欲や活動性が低下することはありません。
病態生理と発生要因
代謝性脱毛は代謝性と栄養性素因が潜在し、これらは互いに独立したものではなく、栄養摂取の不備が代謝経路を阻害し、最終的に脱毛という共通の徴候に至ることが多いと思われています。環境温度や日照時間の変化が視床下部・下垂体軸を介して内分泌シグナルを乱すことにより発症します。リスの換毛は、光周期の影響を強く受け、日照時間の変化は松果体からのメラトニン分泌を調節し、甲状腺や副腎の活性を制御します。飼育環境下において、不自然な長日条件や一定の高温環境が継続すると、野生下で維持されている生物学的時計が崩壊し、毛包が適切なタイミングで成長期に入ることができなくなります。

栄養要因
栄養性脱毛は、主にタンパク質、アミノ酸、および特定のビタミンの不足や過剰によって引き起こされます。特にひまわりの種やピーナッツに偏った餌は、高脂質・低タンパク質の栄養構成を招き、皮膚の健全性を損ないます。
蛋白質
タンパク質不足は毛幹の物理的強度を低下させ、毛周期を短縮させます。ピーナッツは含硫アミノ酸であるメチオニンを欠いているため、これに依存した餌はシマリスの脱毛させ、皮膚の質を低下させます。
ビタミン
ビオチンは水溶性ビタミンB群の一種で、脂肪酸の生合成や特定のアミノ酸の代謝に不可欠です。ビオチンが欠乏すると、角質層の脂質組成が変化し、皮膚は乾燥して剥脱性皮膚炎などか起こります。
脂質
シマリスが好む種子類はオメガ6脂肪酸(リノール酸など)を豊富に含まれていまが、オメガ3脂肪酸とのバランスが崩れると、皮膚の炎症閾値が低下し、被毛の光沢が失われます。高脂肪食は肝臓への負担を増やし、肝脂肪変性を介して間接的に皮膚や被毛の状態を悪化させます。
内分泌要因
シマリスやプレーリードッグは季節繁殖動物として発情期を迎えます。さらにシマリスは冬眠という休眠スタイルをとり、冬眠後の3~4月頃に発情で性ホルモンの分泌が活発になり、その影響で被毛の質が変化し、大量に抜けたりすることがあります。特に偽妊娠中や、発情期が長引いた場合にも発生しやすいです。またリスも夏毛と冬毛の換毛も生理的に起こります。野生と飼育下では大きな環境の相違が見られるのは当然で、内分泌に大きな影響を与えることが予想されます。さらに副腎皮質機能亢進症と甲状腺機能低下症などの疾患の関与も挙げられています。副腎皮質からの糖質コルチコイド(コルチゾール)の過剰分泌は、全身の代謝に多大な影響を及ぼし、コルチゾールは糖新生を促進し、末梢組織でのグルコース利用を抑制する一方で、タンパク質の異化を強力に推し進めます。このタンパク異化作用により、皮膚のコラーゲンが失われ、真皮の菲薄化が生じます。甲状腺ホルモンは全身の基礎代謝率を維持するために不可欠で、毛周期においては毛包細胞の分裂活性を直接刺激します。甲状腺機能低下症になると毛包は成長期へ移行することができず、休止期に留まり続ける可能性は高いです。

ストレス要因
リスは非常にストレスに敏感な動物で、環境の変化や過密飼育は副腎軸を慢性的に活性化させます。野生齧歯類を用いた研究では、被毛中のコルチゾール濃度が過去数週間のストレス曝露量を反映することが確認されています。慢性的ストレスによる高コルチゾール血症は、免疫抑制だけでなく、毛包幹細胞のアナゲン転換を阻害し、心理学的要因が代謝を介して脱毛を引き起こす経路(心因性・代謝性混合型脱毛)の存在を裏付けています。
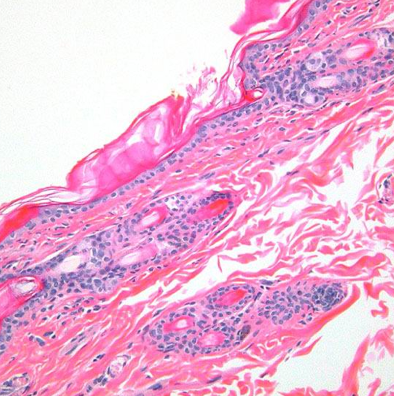
鑑別診断
代謝性脱毛の診断は、除外診断のプロセスが中心となる。感染症や物理的要因を排除した上で、全身状態を総合的に評価する必要があります。リスにおいて最も頻繁に見られる脱毛原因は、ダニ(疥癬、ツメダニ)やシラミ、真菌(皮膚糸状菌症)です。代謝性脱毛との決定的な違いは、これらが炎症と痒みを伴う点になります 。しかし、確定診断のためには、皮膚生検が推奨されます。代謝性脱毛の組織像では、成長期の毛包が消失し、大部分が休止期または退行期にあります(毛包の萎縮)。全ての毛包が同期して休止期にあり、毛幹が脱落しているが再成長の兆候がありません。毛包の開口部が角質片で塞がれる面皰が形成されています。

内分泌異常を裏付けるためには、ホルモン測定や生化学パネルの実施が必要となります。ACTH刺激試験や総サイロキシン測定なども、全身麻酔下での採血や基準値が確立されていない現状から、臨床的ではありません。
治療
明確な治療方針が確立されておらず、環境と餌の栄養の改善が中心となります。しかし、完治する症例はおらず、治療はあくまでも進行を防ぐ目的にしかなりません。
環境改善
リスにとって快適な温度を保ち、昼行性なため昼夜の明暗を明確にすることが、内分泌のバランスの改善に役立ちます。生理的リズムの再構築を図るために、人工照明をタイマーで管理し、季節に合わせた日照時間(夏期は12~14時間、冬期は8~10時間)を設定します。そして、リスは温度変化に対して感受性が高く、特に一定すぎる高温環境は換毛を遅延させるために、適度な温度勾配を設け、個体が体温調節を選択できるようにします。さらにストレス軽減の目的として、ケージの配置を考慮し、隠れ場所の確保、騒音の遮断を行い、慢性的なコルチゾル上昇を抑えます。
餌の栄養改善
良質なタンパク質や栄養バランスの取れたペレットを中心にし、脂質の多いおやつを控えます。シマリスは雑食性の強い草食動物であり、その栄養要求量は季節によって変化しまが、総給餌量の約60%を、栄養バランスの調整されたげっ歯類用ペレットに置き換えます。これにより、アミノ酸やビタミンの不足を解消できます。ひまわりの種やピーナッツは嗜好性が高いが、エネルギー密度が高すぎるため、訓練用のご褒美や総摂取量の10%以下に抑えます。キャベツ、小松菜、リンゴなどの野菜・果物を30%程度含め、ビタミンAやC、および食物繊維を確保します。
薬剤療法
内分泌疾患が確定または強く疑われる場合には、薬剤による介入が必要となります。メラトニンは毛周期の調整剤として、使用され、アンドロゲンやエストロゲン、副腎ホルモンのバランスを整え、休止期にある毛包を成長期へと誘導する効果があります。レボチロキシンは甲状腺機能低下症に対する補充療法で、生涯にわたる投与が必要となる場合が多いです 。

予後
予後は基礎疾患の性質と飼育者のコンプライアンスに大きく左右されます。栄養欠乏や単純な環境ストレスが原因である場合、介入開始から4〜8週間程度で被毛の再生が認められ、次の換毛期までには完全に回復することが多いです。 しかし、内分泌疾患が原因である場合、被毛の回復は一時的なものに留まるか、生涯にわたる管理が不可欠となります。
参考文献
- Levesque DL,Tattersall GJ.Seasonal torpor and normothermic energy metabolism in the Eastern chipmunk (Tamias striatus).J Comp Physiol B180(2):279-92.2010
