New抗黄体ホルモン製剤
アグレプリストン(商品名:アリジン)というプロゲステロン受容体拮抗薬は、犬や猫の避妊ならびに堕胎、また子宮蓄膿症(主に開放性だが閉鎖性にも使える)に使用する薬剤です。プロジェステロンに拮抗し、子宮内が黄体期から脱して堕胎させ、細菌の増殖を抑制し、プロジェステロン支配下の子宮頚管を弛緩させて子宮蓄膿症を治療します。なお妊娠を停止させる場合は胎齢45日までになり、妊娠中期までに2回注射すると言う方法で、妊娠25日までだと100%、45日までだと95%の成功率で中絶したということ、比較的副作用も少ないです。
これまで使用されていたPG製剤は?
プロスタグランジン製剤を使った内科療法は以前から行われておりましたが、副作用が強く嘔吐や下痢で動物が苦しむ、心臓が悪いと使えない、子宮蓄膿症のタイプが閉鎖型だと使えないなど様々な問題がありました。

副作用
副作用は食欲不振、興奮、うつ病、および下痢なりますが、発生率は低く、それほど重篤にはなりません。
エキゾへの応用
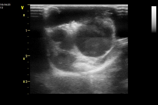
子宮蓄膿症のハムスター治療
超音波検査で子宮蓄膿症と診断されたゴールデンハムスターにアリジン20mg/kg(SC)を、翌日、8日目、15日目の計4回投与し、抗生物質療法(マルボフロキサシン2mg/kg PO SID 10日間)も併用して治療を行いました。翌日、2回目のアリジン投与時には、わずかな食欲不振と活動の低下を除いて顕著な異常はありませんでした。2回目の投与の翌日にハムスターが通常の食事を再開し、回し車で遊ぶことへの関心がでてきました。外陰部の膿の排出は認められませんでしたが、体重は15gの減少を示しました。2回目の投与後7日目には健康状態が著しく改善し、超音波検査において子宮内腔の液体が消失していました。しかし、子宮壁に嚢胞所見が超音波で観察されたために、投与は継続されました。14日目には、ハムスターは健康で、超音波検査での子宮壁の嚢胞所見も減少していました。補足的な4回目の投与を15日目に行いました。最後の治療から2か月後、ハムスターの健康状態は最適になり、体重は安定し、再び定期的に発情行動が観察されました〔Pisu et al.2012〕。

ウサギの堕胎
生後10〜12ヵ月齢のニュージーランドホワイトを自然に交配させ、交配後6日目の超音波検査によってすべての動物の妊娠を確認しました。アレジン 10 mg/kg SC投与を、交配後6日目と7日目に24時間間隔で2回注射されました。副作用は観察されませんでしたが、血清プロゲステロン濃度は、有意差はありませんでしたが、結果的に妊娠を防ぐことができました〔Ozalp et al.2010〕。

子宮炎/子宮蓄膿症のモルモットの治療
X線検査で子宮炎/子宮蓄膿症と診断された体重1.3kgの4歳のメスのモルモットにアリジン0.43mlと0.7mlのBaytril®2.5%を投与しました。治療の1日目、2日目および8日目に注射された10mg/kgのアグレプリストンの用量は十分に許容された。注射の2時間後、2〜3mlの膣分泌物が観察された。翌日、モルモットの全身状態は明らかに改善し、モルモットの正常な行動に対応しました。また、ガスで満たされた胃は正常に戻りました。3日目の夜、大量の液体が排出されました。それがもっぱら尿だったのか、それとも膣分泌物の追加内容だったのかは明らかにできませんでした。8日目に子宮蓄膿症/子宮蓄膿症のすべての所見が消えました。3日目の夜、大量の液体が排出されました。それがもっぱら尿だったのか、それとも膣分泌物の追加内容だったのかは明らかにできませんでした。8日目に子宮蓄膿症/子宮蓄膿症のすべての所見が消えました。〔Von Engelhardt AB.2006〕

まとめ
アグレプリストーンは、ほとんどの種で妊娠を中絶する効果的な手段であることが証明されています。分娩を誘発するために使用される場合、アグレプリストンは、雌犬、牛、山羊のすべての症例で有効であり、新生児の健康や乳汁産生に明らかな悪影響はありませんでした。注射時の妊娠の段階に関係なく、アグレプリストンによる治療はその後の出生力に明らかな悪影響を及ぼしません。アグレプリストーンは、子宮蓄膿症を治療するための安全で比較的効果的な手段でもあります。他のプロゲステロン依存性疾患でのアグレプリストンの使用はまだ完全に評価されていませんが、特にインスリン抵抗性糖尿病、先端巨大症の治療、および雌犬のいくつかの膣腫瘍の治療において価値があることが証明される可能性があります〔Gogny et al.2016〕
参考文献
■Gogny A,Fiéni F.Aglepristone: A review on its clinical use in animals.Theriogenology85(4).555ー566.2016
■Ozalp GR et al.Effects of the progesterone receptor antagonist aglepristone on implantation administered on days 6 and 7 after mating in rabbits.Reprod Domest Anim45(3):505-508.2010
■Pisu MC,Andolfatto A,Veronesi MC.Pyometra in a six-month-old nulliparous golden hamster (Mesocricetus auratus) treated with aglepristone.Veterinary Quarterly32(3-4).2012
■Von Engelhardt AB.Treatment of the metritis/pyometra complex with aglepristone in a guinea pig.Der Praktische Tierarzt 87(1):14-17.2006
