定義
脊索腫(Chordoma)は、軸骨格の稀な腫瘍であり、その起源は胚発生期に存在する脊索の残遺物に由来します 。脊索は通常、発生過程で退縮しますが、椎間板の髄核として残存し、この腫瘍はその細胞系列が異常に増殖することで発生します。この腫瘍はヒトでは稀ですが、動物においても稀な疾患であり、イヌ、ネコ、ラット、ミンク、そしてフェレットを含む限られた動物種での症例報告が存在します〔Cho et al.2011〕 。
発生
脊索腫の発生部位には強い偏向性があり、軸骨格の頭蓋側(頭蓋底)および尾側(尾椎、仙骨)の極限部位に最も頻繁に発生します 。フェレットにおける脊索腫は、特に尾の先端に発生する硬い腫瘤として獣医療において「よく知られた腫瘍」の一つとされています 。

フェレットの脊索腫に関する症例報告は他の一般的な腫瘍と比較して限られているため、腫瘍の生物学的挙動や治療反応を深く理解するためには、ヒトや他の実験動物(特に高頻度で転移が報告されているラット )のデータを参考にし、比較腫瘍学的な視点から考察することが不可欠となります。脊索腫の発生源が脊索残遺物であるという一貫した事実は、種を超えて共通する特定の病理学的特徴と診断基準(後述する免疫組織化学的染色を含む)の基盤を提供します 。
好発部位に基づく臨床分類(尾部型 vs 脊椎型)
脊索腫は、フェレットの尾の先端、またはまれに頸部に発生し、発生部位によって臨床経過、治療方針、および予後が劇的に異なるため、獣医学的には病変の位置に基づいた厳密な分類が求められます 。
尾部脊索腫
尾部に発生する脊索腫は、典型的には飼い主が尾の先端に気付く硬い腫瘤として発見されます 。この腫瘤は通常、滑らかで被毛がなく、成長が緩徐であり、触診時に痛みを伴わないことが多いです。 腫瘍の肉眼的な特徴として、灰白色で膨張性を持つ皮下軟部組織塊として観察されます 。全身状態は良好であることが多く、腫瘍が尾の先端にあるため、地面に擦れることによって、表面に潰瘍を形成したり、被毛が抜けたりする付随的な問題は生じますが、それ自体が動物の生活に深刻な影響を与えることは稀です〔Williams et al.1993〕 。

脊椎脊索腫
脊椎(頸部や胸部)に発生した脊索腫は、局所的に骨組織を破壊し、増大することで脊髄を圧迫します 。これにより、重篤な神経学的症状が発現します。 脊髄の圧迫により、特に後躯の運動機能に障害が生じ、後肢において、意識的な固有受容や疼痛知覚が失われることがあります。頸部病変の場合、運動の協調性が失われることがあります。 頸部病変または進行した病態で見られることがあります〔Pye et al.2000〕。
診断・検査
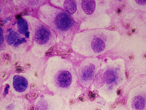
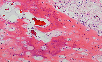
脊索腫の診断プロセスにおいて最も重要な獣医学的課題は、同じく尾部や脊椎に発生し、予後が極めて悪い軟骨肉腫(Chondrosarcoma)との明確な鑑別診断を確立することです。 腫瘤に対する迅速な初期診断として、穿刺吸引細胞診(FNA)が非常に有用です 。脊索腫のFNA標本には、ムコイド物質を含む大きな細胞内空胞を持つ多角形の細胞の集塊である、特徴的なPhysaliferous Cells(泡状細胞)が多数認められます 。Physaliferousとは、ギリシャ語で「泡」を意味する”Physallis”に由来し、文字通り「泡を抱える細胞」の外観を指します 。これらの細胞は、通常、円形から多角形で、豊富な細胞質を持ち、核は中央または偏心性の丸い形態を示し、粗大顆粒状のクロマチンと時に目立つ核小体が見られます 。FNAにおける泡状細胞の確認は、脊索腫の強い示唆となります。


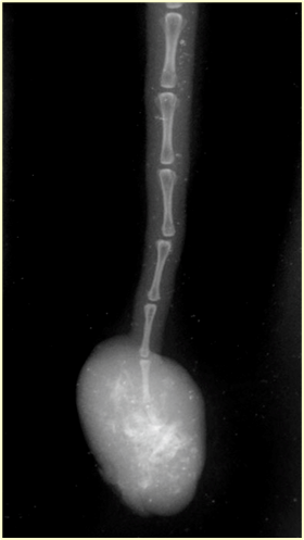
画像診断は、腫瘍の局所的な広がり、骨組織への浸潤、および脊髄への影響を評価するために必須です。X線検査では尾部病変の場合、腫瘤の大きさや、尾椎における骨の破壊(溶骨性変化)の有無を確認します。 MRIおよびCT検査では、脊椎病変の場合、腫瘍が脊髄を圧迫している程度を評価することが治療方針の決定に不可欠であり、MRIが最も正確で詳細な情報を提供します 。MRIは、腫瘍の周囲軟部組織への浸潤範囲や、脊髄の圧迫度を評価する上で、ミエログラフィーよりも正確であるとされています 。CTも外科的切除の可能性を判断する上で有用な画像技術です 。

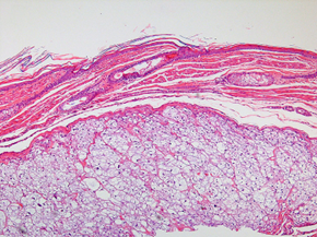
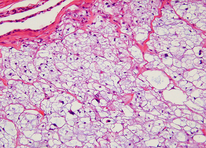
脊索腫の確定診断は、生検組織の病理組織学的検査と、免疫組織化学(IHC)染色によって行われます。組織病理学的に、脊索腫は被膜を持たず、結節状で、真皮内に緩やかに配置された新生物として観察されます 。腫瘍細胞の小葉構造が線維性組織と混在し、線維性組織内にはムチンと一致する豊富な細胞外好塩基性物質が存在します 。腫瘍細胞はしばしば脂肪細胞に似た空胞を持つ泡状細胞で構成され、周囲の皮下組織や骨髄腔に浸潤し、骨組織の著しい破壊と置換を引き起こします 。 脊索腫は、その起源から上皮系と間葉系タンパク質の二重発現という特徴を持ちます。


IHC検査は、この特徴を利用して、脊索腫と軟骨肉腫を明確に鑑別するために実施されます。 鑑別に決定的なマーカーはサイトケラチンで、 脊索腫はサイトケラチン陽性で、一方、軟骨肉腫はサイトケラチンが陰性となります〔Dunn et al.1991,Herron et al.1990〕 。

治療
尾の先端に発生した脊索腫は、通常、外科的切除によって容易に治療が可能です 。しかし、この腫瘍は肉眼的な境界が不明瞭で、骨組織を破壊しながら浸潤する性質を持っているため 、単純な腫瘤摘出では局所再発のリスクが高まります。 したがって、尾部脊索腫の治療においては、病変部位から数椎体近位のレベルで、健全な組織を介した断尾術が推奨されます 。この広範な切除マージンを確保することで、尾部病変における局所再発の報告はされておらず、根治性が期待できます。





脊椎(頸部や胸部)に発生した脊索腫に対する治療は、入院管理の下で行われます。外科的介入の第一の目的は、脊髄の圧迫を解除し、神経機能の回復を促すことです。 治療手技としては、腫瘍の切除に加えて、椎弓切除術などの減圧手術が実施されます 。しかし、頸部などのアクセスが難しい部位では、腫瘍の完全な外科的切除は困難となる場合が多いです 。回復の可能性は、腫瘍が脊髄を圧迫していた期間の長さと、圧迫の程度に大きく依存します。脊髄圧迫が長期間にわたる「慢性的な圧迫」であった場合、減圧が成功しても神経機能が完全に回復しない可能性があります。脊椎型では、外科医は根治切除よりも脊髄機能の維持(減圧)を優先せざるを得ない場合が多く、切除マージンが不完全になるリスクが存在します。この不完全切除は、局所的な再発や進行のリスクを増大させます。完全な外科的切除が不可能な脊椎病変や、不完全切除後の局所制御を高めるための補助療法として、放射線療法が検討されます。フェレットにおける脊索腫のRTプロトコルに関する具体的な獣医学的データは非常に限られているため、治療計画の策定にあたってはヒト医療における知見が参考にされています。
参考文献
- Cho ES et al.Chordoma in the Tail of a Ferret.Lab Anim Res25;27(1):53–57.2011
- Pye GR.Bennett RA,Roberts GD,Terrell SP.Thoracic vertebral chordoma in a ferret (Mustela putorius furo).J Zoo Wild Med 31(1):107-111.2000
- Dunn DG,Harris RK,Meis JM,Sweet DE.A histomorphologic and immunohistochemical study of chordoma in twenty ferrets (Mustela putorius furo).Vet Path28:467-473.1991
- Herron AJ,Brunnert SR,Ching SV, Dillberger JE,Altman NH: Immunohistochemical and morphologic features of chordomas in ferrets (Mustela putorius furo).Vet Path27:284-286.1990
- Williams BH, Eighmy JJ, Berbert MH, Dunn DG.Cervical chordoma in two ferrets (Mustela putorius furo).Vet Path30:204-206.1993
