はじめに
動脈硬化症(Arteriosclerosis)は、飼育下の爬虫類において広く観察される主要な病態の一つであり、特にグリーンイグアナ(Iguana iguana)ではその罹患率と臨床的重要性から、獣医学的な関心が集まっている。本症は、慢性的な代謝異常と不適切な飼育管理が複合的に作用することで発症し、心血管系、腎臓、およびその他の重要臓器の機能不全を引き起こす主要な原因となる。
発生
硬化症は一般的に、血管内膜に脂質が沈着し、炎症反応を伴うアテローム性動脈硬化症と、主に血管中膜の線維化および石灰化を特徴とする中膜硬化症に大別されます。哺乳類医学では、多くの場合アテローム性動脈硬化症が高脂血症によって引き起こされるのに対し、爬虫類、特にイグアナ科の病理所見では、両者の病態が複合的に発生する傾向が強いです。これは、不適切な栄養管理に起因する高脂血症(アテローム性硬化の要因)と、二次性副甲状腺機能亢進症や高リン血症(不適切なカルシウム:リン比率、すなわちCa:P比に起因する中膜石灰化の要因)が同時に進行するためであると言われています。この複合病変、すなわち「アテローム性動脈硬化症と中膜石灰化の複合体」として認識される病態は、飼育下のグリーンイグアナがその長い飼育寿命と厳格な草食性要件を持つにもかかわらず、しばしば不適切な食事を与えられる環境下で特に感受性が高くなることを示している〔Frye 1991〕。高齢化に伴い病変は進行し、血管の弾性が失われることで、突然死や慢性的な臓器機能不全を招きます。
グリーンイグアナの動脈硬化病変は、循環器系の負荷が最も高い部位、すなわち心臓、大動脈弓、腎動脈、および脾動脈に重度に認められる傾向があります〔(Mader 2006〕。これらの部位の血管病変は、心筋の虚血、腎血流の低下、そして最終的な腎不全および高血圧を引き起こします。この病態の進行を評価する上で重要な要因として、成熟した雌イグアナに見られる生理的変動が挙げられます。メスは卵黄形成期において、卵黄前駆体リポタンパク質を肝臓で大量に合成し、血中に放出するため、一時的に極端な高脂血症を示します。この生理的な脂質代謝へのストレスが、飼育不良による慢性的な病理的高脂血症と重なると、血管内皮への傷害が急速に進行し、病変の加速因子となり得ます。したがって、雌の繁殖期後の脂質パネルの評価と、その期間の管理強化は重要な予防戦略として位置づけられるべきです。
病因
グリーンイグアナの動脈硬化症は、本質的に飼育環境と栄養管理に起因する病態であり、その予防と治療にはこれらの要因の是正が不可欠です。
栄養要因
グリーンイグアナは、自然界では主に葉、花、果実を食べる厳格な草食動物です。飼育下において、ペットフード、肉類、卵、または高脂肪の果物や動物性タンパク質を含む不適切な食餌が与えられると、肝臓でのVLDL合成過剰が引き起こされ、血中のリポタンパク質濃度が異常に上昇します。この慢性的な高脂血症は、直接的に動脈硬化の主要な推進力となります〔Smith et al.2005〕。
動脈硬化の病因の中で、グリーンイグアナに特有かつ致命的な側面は、ミネラル代謝の異常です。理想的な食餌中のCa:P比は1.5:1~2:1とされていますが、飼育下ではしばしばリン(P)過多の食餌が与えられています。リン過多は血中のリン濃度を上昇させ(高リン血症)、これにより血中カルシウム濃度が低下します。身体はこれを是正しようとして二次性副甲状腺機能亢進症(Secondary Nutritional Hyperparathyroidism)を引き起こし、副甲状腺ホルモン(PTH)の持続的な上昇は、骨からのカルシウム放出を促すと同時に、軟組織へのリン酸カルシウムの異所性沈着を誘導します。この血管中膜へのリン酸カルシウムの沈着は、血管の弾性を著しく低下させ、アテローム性プラークと複合することで病態を急速に悪化させます。したがって、イグアナの動脈病変を評価する際には、単なる高脂血症だけでなく、ミネラル代謝の是正が必須となります。
そしてビタミンD3の過剰投与は、Ca吸収過多を招き、異所性石灰化の直接的な原因となる可能性があります。一方で、ビタミンEやその他の抗酸化物質の欠乏は、血中のリポタンパク質の酸化(oxLDLの生成)を加速させ、動脈硬化病変の進行を促進します。適切なUVB照射とバランスの取れた抗酸化物質の供給は、血管保護のために重要です。
飼育環境
狭いケージでの飼育は、グリーンイグアナの活動性を著しく低下させます。運動不足は内臓脂肪の蓄積と密接に関連し、これはインスリン抵抗性を誘発し、脂質代謝異常を悪化させます。肥満状態にある動物は、血中の遊離脂肪酸レベルが高くなりやすく、結果として動脈硬化症のリスクが増大します〔Wilson et al.2010〕。
イグアナは外温動物であるため、体温が環境に依存します。低温下では、肝臓は食事から得た脂質をVLDLとして生成しても、末梢組織における脂質の利用やクリアランス速度が極端に遅延します。その結果、血中脂質濃度は慢性的に高止まりすることになります。この病態は、たとえ餌内容を草食性に厳格に是正したとしても、環境温度が不適切な限り解決されない、根本的な病因となります。治療戦略においては、まず環境設定の是正が薬物治療よりも優先されるべきです〔Boyer 2006〕。
症状
動脈硬化症は、多くの症例で初期には非特異的な兆候のみを示すため、診断が難しい。病変は緩徐に進行し、臨床症状(例えば、活動性の低下、食欲不振、虚脱)が出た時点で既に心臓や腎臓などの重要臓器の機能不全を伴っていることが多いです。

動脈硬化症は、しばしば腎臓病と高率に併発します。動脈硬化が腎動脈の血流を阻害することで腎臓の虚血性傷害を引き起こす一方で、既存の腎不全はリンの排泄障害を通じて高リン血症を招き、血管石灰化を増悪させるという悪循環が存在します〔O’Malley 2005〕。また、高脂血症は肝臓における脂質蓄積を引き起こし、脂肪肝を併発します。重度の動脈硬化は冠動脈病変や全身の血流動態の変化を通じて、心筋症や心不全を二次的に引き起こすことが知られており、これらの併発病変の有無が最終的な予後を大きく左右します。
診断・検査
動脈硬化の初期の段階では、食欲不振や活動性の軽度な低下が見られ、病態が進行し、腎臓または心臓に影響が及ぶと、より重篤な症状が現れます。腎動脈の動脈硬化による血流低下は腎不全を招き、脱水、多尿/頻尿、および関節・臓器への痛風沈着を引き起こす。心臓の動脈硬化や二次的な心筋症の合併は、運動不耐性や虚脱として現れます。
血液検査は、代謝状態と臓器機能の評価に不可欠です。総コレステロールおよびトリグリセリド(中性脂肪)の異常な高値は、動脈硬化のリスクを強く示唆します。非繁殖期の雄で総コレステロールが400mg/dLを超える場合、重要な診断指標となり得ます〔Mader 2006〕。尿酸、リン、カルシウム(イオン化カルシウムを含む)の評価も極めて重要です。腎機能が低下すると、リンが排泄されずに高リン血症となり、これが血管石灰化を増悪させます。腎臓病の併発の有無を判断するために、これらの指標のモニタリングは不可欠です〔O’Malley 2005〕。
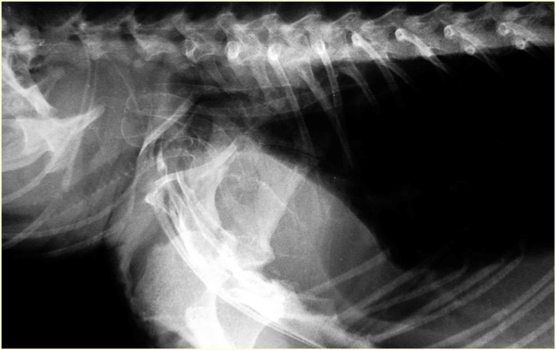
X線検査は、進行した動脈硬化症の最も明確な非侵襲的証拠である血管石灰化の存在を確認するために使用されます。特に、腹部大動脈や腎動脈領域に沿った石灰化の像は、代謝性骨疾患に起因する血管硬化の強力な証拠となります。

心臓の超音波検査は、心肥大や心筋症の合併症を評価するために使用される。また、大動脈や主要動脈の壁厚(内膜中膜厚)を測定することで、血管病変の進行度を非侵襲的に評価することが可能です。
CT検査は、全身の石灰化の程度と分布を定量的に評価する上で、最も高精度なゴールドスタンダードとされる。特に微細な血管壁の石灰化を検出する能力に優れています。
治療
動脈硬化症の治療は、病因である飼育環境および栄養管理の徹底的な是正と、進行を遅らせるための薬理学的介入を組み合わせた複合的なアプローチが要求されます。
栄養管理
治療において最も重要な第一段階は、食餌の厳格な見直しになります。グリーンイグアナを厳格な高繊維、低脂肪、低タンパク質の草食性食餌へ移行させ、動物性タンパク質や高脂肪・高糖質の果物は完全に排除する必要があります。食餌中のカルシウムとリンの比率を2:1程度に調整するための戦略的サプリメント投与を行います。炭酸カルシウムなどのサプリメントの使用、およびUVB照射の確保が必須になります。腎不全の併発により高リン血症が継続する場合、アルミニウム系またはカルシウム系のリン吸着剤を経口投与し、消化管からのリン吸収を抑制することを検討します。これにより、血管石灰化の進行を遅らせることを目指します。
薬剤治療
哺乳類医学で使用される脂質低下薬(スタチン系、フィブラート系)は、爬虫類における動脈硬化の進行を抑制する理論的根拠はありますがが、爬虫類での使用経験は限定的であり、薬物動態学データが不足しています。スタチン系薬剤は肝毒性のリスクを伴うため、これらの薬剤は、徹底的な体重管理と食事・環境管理が失敗し、かつ高脂血症が持続的に重篤な場合にのみ、肝機能の厳重なモニタリング下で二次的な手段として使用が検討されるべきです〔Doneley 2010〕。高脂血症による酸化ストレスを軽減する目的で、抗酸化剤(特にビタミンE)やオメガ3脂肪酸(EPA、DHA)の補給は、一般的に推奨される。これらは内皮機能の改善に寄与する可能性があります。
待望の新刊! 爬虫類の病気百科
エキゾチックアニマル臨床の第一人者 霍野晋吉が贈る、獣医師そして飼育者、ブリーダーまで、全爬虫類関係者へ送る医学バイブル
参考文献
- Boyer TH.Essential Exotic Animal Medicine: Diagnosis and Treatment.2006
- Frye FL.Reptile Care: An Atlas of Diseases and Treatments.1991
- Mader DR.Reptile Medicine and Surgery 2nd ed.2006
- O’Malley B.Clinical Anatomy and Physiology of Exotic Species.2005
- Smith DA et al.Nutritional Disorders in Captive Reptiles.200
