サルは歯磨きできない・・・
サルには歯の病気が多発します。虫歯、歯周病や歯石、犬歯が折れるなどの問題がよく起こります。どんな病気があるのかちょっと勉強しておきましょう!
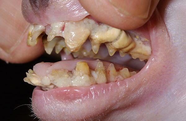
虫歯
人でよく聞きますか、サルでも虫歯は普通に起こります。医学専門用語では齲蝕(うしょく)と呼ばれています。


口の中の細菌が糖質から作った酸によって、歯質が脱灰されて、
歯が変色したり、歯が腐って欠けます。

歯の実質が欠損して神経が露出すると、痛がることもあります。

果物や甘いおやつを好物とするサルにとても多く発生します。
サルは人のように何度も歯医者に通って、口を大きく開けて治療させてくれません。
ひどい虫歯は抜歯をします。
歯周病
歯周病は口の細菌の感染によって引き起こされる炎症で、最初は歯肉炎が起こります。歯と歯肉の境目に、エサと細菌が停滞して、
炎症で赤くなったり、腫れたりします。

進行すると歯周ポケットと呼ばれる歯と歯肉の境目が深くなり、
歯を支える土台(歯槽骨)が溶けて歯が動くようになります。
歯石がついて歯肉に炎症が起こることもあります。


人でも多くが歯周病に冒されているというデーターもあります。
歯磨きは歯周病予防には最も効果的ですが、サルでは難しいです。
歯周病がひどいと最終的には抜歯をしなければなりません。


歯磨きできないサルにこれを与えて!
動物病院専用!ロリスやリスザルなら1日1/2包をエサや水に混ぜるだけ!
コストを抑えたいならコチラ!
動物病院専用!ペレットに1日1/2包ふりかけて食べさせるだけ!薬に少し粘り気があり、口の中に残り、歯石をつきにくくします!
歯の破折
サルは犬歯が鋭くて大きいのでケージを咬んで、折れることがあります。また、サルが噛んで痛いという理由で「犬歯を短くして欲しい」と依頼する飼い主さんがおり、犬歯を短くカットすることがあります。折れたり、カットすると歯の内部にある歯髄という神経や血管を含む組織が露出して、細菌感染が起こります。



歯ならびに歯髄の炎症が起こると歯が黄色く変性してきます。

歯髄は歯の根元につながっているので、歯の根元(歯根)に膿が貯まります(歯根膿瘍)。
歯根の炎症や膿は周辺の歯肉も腫れ、下顎の犬歯の場合は下顎が腫れあがります。

上顎の犬歯の場合は頬が腫れたり、鼻の炎症を起こすことがあります。
炎症を起こすため歯が痛くなります。感染を起こした歯髄や歯根の膿は抜歯をするしかありません。




大型のサルの抜歯は、1本の犬歯を抜くのに30分以上かかる大変な処置になります。




乳歯遺残
サルも乳歯から永久歯に生え変わりますが、乳歯が何らかの原因で抜けずに残ってしまうと、骨の中で永久歯が生えることができずに残ってしまいます。

上顎の永久歯が残ると鼻の周囲が盛り上がって鼻腔に影響し、くしゃみを頻繁にするようになります。

まとめ
・サルは果物や甘い物が好きで虫歯や歯周病になりやすい
・歯石もつきやすい
・歯を磨いたり、定期的に歯の治療ができないので、ひどくなったら抜歯をする
・乳歯が抜けずに永久歯が歯根に遺残する乳歯遺残も起こる
