卵巣や子宮の病気?
下の写真のように、ハムスターにおいて鮮血が見られる場合はメスの外陰部から出血している可能性が高く、卵巣・子宮の病気が疑われます。また、外陰部からの出血は一時的に止まることもあるので、どこから血が出たのかさらに分からなくなります。おかしいと思ったら、トイレ砂を白色の紙製の商品に変えると、少量の出血でも異常が発見されるかもしれません。
病気の種類
子宮疾患の原因は性ホルモン分泌の異常で、子宮内膜の過形成からはじまり、ポリープができたり、充血して出血が見られ、いわゆる子宮内膜症とも呼ばれます。炎症が起こる子宮内膜炎や膿が溜る子宮蓄膿症に進展することもあります。次第に腫瘍性の変化を示し、つまり腫瘍性変化を示します。
- 子宮内膜症
- 子宮内膜炎
- 子宮蓄膿症
- 子宮血腫
- 子宮水腫
- 子宮の腫瘍
子宮内膜症
子宮内膜の細胞が過形成を起こして、ポリープ状に増殖します。内膜の血管が充血して、出血が起こります〔Çolakoğlu HE et al.2020〕。


子宮内膜炎

子宮内膜症の状態で細菌感染が起こると子宮内膜炎なります。子宮内膜炎は抗生物質で治療し ますが、内膜症では炎症がないので、抗生物質は効果がありません。生前検査では内膜症と内膜炎は鑑別できませんので、最終的に子宮を外科的に摘出してからの病理検査で診断されます。
子宮蓄膿症
子宮内膜の炎症の波及で、子宮内腔に蓄膿します〔Pisu et al.2012〕。
子宮血腫
子宮内膜の過形成や炎症によって血管が充血し、出血が見られて子宮内腔に血液が溜って拡大します。



拡大した子宮によってハムスターは腹部膨満が見られます。
子宮水腫
子宮内腔に漿液が貯留し、子宮が拡大します。


子宮の腫瘍
子宮には、乳頭腫〔Rother et al.2021〕、内膜のポリープ〔Rother et al.2021〕、腺癌〔Rother et al.2021,Kondo et al.2008,〕、平滑筋腫〔Kondo et al.2008,〕、平滑筋肉腫〔Rother et al.2021,Kondo et al.2007〕、子宮間膜の扁平上皮癌〔Rother et al.2021〕などの発生が報告されています。腫瘍は良性と悪性がありますが、診断は子宮を外科的に摘出してからの病理検査で行います。悪性腫瘍は摘出しても全身に転移しやすく、すでに転移していると残念ながら長生きできません。


卵巣の病気
子宮の病気ほどではないですが、卵巣の病気も起こります。卵巣に卵胞が液体を含んで大きくなる卵巣嚢腫や腫瘍などが、子宮の病気と併発して起こることもあります。特に高齢になると、卵巣嚢腫は好発します〔Martorell 2017〕。卵巣腫瘍は、特に顆粒膜細胞腫が最も診断されます〔Golbar et al.2011,Sato et al.2004〕。


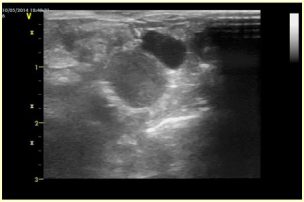
どうやって検査するの?

卵巣・子宮疾患はX線検査や超音波検査で判断します。

卵巣・子宮の病気以外にも膀胱結石や膀胱炎なども考えられるので、尿検査なども行います。 腎臓や膀胱からの血尿だと薄い血尿になり、子宮疾患であると鮮血です。
治療は?
基本的な治療は外科的に卵巣・子宮を摘出することですが、ホルモン治療などの選択もあります。しかし、ホルモン治療は完治させる治療でなく、進行を遅くする程度の効果しかありません。なお、ハムスターの子宮蓄膿症ではアリジンというプロゲステロン受容体拮抗薬で治療された報告があります〔Pisu et al.2012〕。本薬剤は、犬や猫の堕胎や子宮蓄膿症に使用されるものです。
予防方法は?
飼育環境が、明るい時間と暗い時間がメチャクチャんなっていることも一原因とされています。昼間はケージを暗くして、夜も明るすぎない環境にしてあげましょう。サプリメントで腫瘍の発生をおさえることは可能かもしれません。
腫瘍に打ち勝つサプリメントはコレ!
ポチップ
動物病院で処方されているサプリメント!
出血が多い時のサプリはコレ!
ポチップ
貧血気味のハムスターに与えて!液体タイプの総合ビタミン・ミネラル剤ですが、血の材料となる鉄も入っているので、貧血のハムスターの血を濃くする時に使います。動物病院専用!
これがポイント!
・メスの赤いオシッコは卵巣や子宮の病気が多い
・卵巣や子宮の病気は動物病院で検査を受けないと診断できない
・治療はホルモン治療と外科手術がある
まとめ
赤いオシッコは気付きにくいので、大量の出血が見られて初めて気づくことも珍しくはありません。おかしいと思ったら 早めに動物病院で診察を受けて下さい。
■Çolakoğlu HE et al.Partial uterine prolapse and ovarian cysts in two Djungarian hamsters.Veterinární Medicína66(1).2020
■Golbar HM,Izawa T,Kuwamura M,Okamura K,Fujita D,Tagami Y,Sasai H,Yamate J.A collision tumor consisting of granular cell tumor and adenocarcinoma in the uterus of an aged djungarian hamster.J Toxicol Pathol24(4):233-7.2011
■Kondo H,Kimoto H,Shibuya H,Shirai W,Matsuo K,Sato T.Spontaneous uterine leiomyosarcoma in a golden hamster (Mesocrietus auratus).J Vet Med A Physiol Pathol Clin Med54:27-29.2007
■Kondo H et al.Spontaneous Fibrosarcoma in a Djungarian Hamster(Phodopus sungorus).Comp Med58(3):294-296.2008
■Pisu MC et al.Pyometra in a six-month-old nulliparous golden hamster (Mesocricetus auratus) treated with aglepristone.vet Q32(3-4):179-81.2012
■Martorell J.Reproductive disorders in pet rodents. Vet Clin Exot Anim20(2):589-608.2017
■Rother N et al.Tumours in 177 pet hamsters Vet Rec188(6):e14.2021
■Sato T,Takada M,Shibuya H,Shirai W,Matsuo K.A malar granular cell tumor in a djungarian hamster Case Reports J Vet Med A Physiol Pathol Clin Med 51(1):23-26.2004
