白血病の定義
白血病は、骨髄を発生源とする腫瘍性造血細胞の増殖を特徴とし、しばしば末梢血中にも腫瘍細胞が出現する造血器悪性腫瘍と定義されています。固形組織に腫瘍塊を形成するリンパ腫とは区別されますが、両者の病態はしばしば重複します。原発部位が特定できない場合や、両方の特徴を併せ持つ症例では、リンパ腫/白血病(L/L)という用語が用いられています。 爬虫類腫瘍学において、変温動物であることに起因する薬物代謝の特異性、種特異的な診断用試薬の欠如、そして哺乳類と比較して圧倒的に少ない基礎的な腫瘍研究などが、診断と治療を困難にしています。
爬虫類での発生
トカゲ類の中では、特にフトアゴヒゲトカゲが白血病の症例報告において突出して多く、種の素因が示唆され、爬虫類の白血病に関して最も研究されている種になります 〔Caitlin M Hepps Keeney et al.2021,Miljković Josip et al.2025〕。本種ではリンパ性、単球性、骨髄性など様々なタイプの白血病が報告されており、特にロムスチンを基盤としたプロトコルに対する詳細な治療反応も記録されています〔〕 。 ヘビ類でもリンパ性や顆粒球性など多様な白血病が報告されています。特筆すべきは、造血器腫瘍とレトロウイルス、特にボア科の封入体病(IBD)の原因ウイルスとの潜在的な病因的関連性です。この関連性は懸念を提起する偶然の一致として指摘されていますが、因果関係は証明されていません〔Christman et al.2017〕 。

爬虫類の白血病の分類と病態生理
爬虫類の白血病は、哺乳類と同様に、関与する細胞系列に基づいて分類されます。以下に、具体的な症例報告を基に詳述します。
リンパ球性白血病
急性リンパ芽球性白血病/リンパ腫 (ALL/L)
腫瘍性のリンパ芽球の増殖を特徴とします〔Miljković et al.2025〕 。
- T細胞性 L/L: フトアゴヒゲトカゲにおいて、内臓諸臓器への播種性浸潤を伴う症例が報告されており、抗CD3免疫組織化学染色によってT細胞由来であることが確認されました 。また、アオホソオオトカゲ(グリーンツリーパイソン)でも、著しい白血球増加と皮下腫瘤を呈する症例が報告されています〔Pagliarani et al.2025,Miljković et al.2025〕 。
- B細胞性 L/L: アオホソオオトカゲにおいて、白血病性の浸潤を伴うB細胞性リンパ腫がPAX5免疫染色によって確認されている〔Pagliarani et al.2025〕 。
慢性リンパ性白血病 (CLL)
- B細胞性 CLL: フトアゴヒゲトカゲにおいて、著しい白血球増加(リンパ球95%)を呈し、CD79a陽性、CD3陰性の染色結果からB細胞免疫表現型と同定された症例があります。病理組織学的には、広範な臓器浸潤とそれに伴う線維化が認められました〔Gavazz et al.2019〕。
骨髄性および単球性白血病
- 急性骨髄性白血病 (AML): ベールカメレオンで報告されており、著しい白血球増加と高い芽球数(195×103/µL)、および汎血球減少症を特徴としました〔Shannon et al.2021〕 。
- 骨髄性白血病: フトアゴヒゲトカゲでの報告があり、骨融解を呈しました〔Gavazz et al.2019〕 。
- 慢性単球性白血病: フトアゴヒゲトカゲで報告されており、重度の白血球増加と著しい単球増加、そして多臓器への浸潤が見られました〔Miljković et al.2025〕 。
顆粒球性およびその他の骨髄増殖性腫瘍
- 推定顆粒球性(好塩基球性)白血病: ホッグノーズスネークの詳細な症例報告では、形態学的に好塩基球と一致する細胞による著しく、持続的かつ進行性の顆粒球増加症が認められ、重度の非再生性貧血を伴っていました〔Roussel et al.2017〕 。
未分化型白血病
- デザートトゲトカゲの一例では、未分化な造血幹細胞の増殖を特徴とし、血管系および主要な全臓器への原始的な細胞の広範な浸潤が認められました〔Goldberg et al.1991〕 。
免疫表現型解析の役割と課題
免疫組織化学染色(IHC)および免疫細胞化学染色(ICC)は、白血病の正確な細胞系列分類に不可欠です。細胞マーカーとしてのCD3 、B細胞マーカーとしてのCD79a およびPAX5 など、哺乳類由来の抗体が一部の爬虫類種で有用であることが示されています〔Christman et al.2017,Pagliarani et al.2025〕。 しかし、これらのマーカーが全ての爬虫類種に適用可能ではないという点が極めて重要であるになります。エジプトトゲオアガマに関する研究では、CD3とCD79aの両方が腫瘍細胞だけでなく正常なリンパ球の染色にも失敗し、種による抗原性の違いが交差反応性を妨げていることが示唆されました 。この事実は、現在の爬虫類白血病の分類体系が、哺乳類用抗体の偶発的な交差反応性に大きく依存した脆弱な構造であることを浮き彫りにしました。我々は、フトアゴヒゲトカゲやアオホソオオトカゲのような、限られた抗体が機能する一部の種における白血病を分類しているに過ぎません。これらのマーカーが反応しない種における白血病は、形態学的評価のみに頼らざるを得ず、例えばリンパ性白血病が未分化型と誤分類されたり、分類不能となったりするリスクを孕んでいます。したがって、異なる白血病タイプの有病率に関する我々の理解全体が、限られたツールが有効な種に偏っている可能性があり、これは単なる診断上の問題ではなく、比較免疫学および病理学における根本的な知識の欠落を意味します〔Hernandez‐Divers et al.2003〕。
症状
爬虫類の白血病に共通する最も顕著な特徴は、その臨床症状が極めて非特異的であることです。ほぼ全ての種および白血病タイプにおいて報告されている最も一般的な症状は、嗜眠、食欲不振、そして体重減少になります〔Frye 1973〕 。その他、 呼吸困難、異常呼吸音、 吐血、便秘ならびに下痢、口内炎などが見られます。
診断・検査
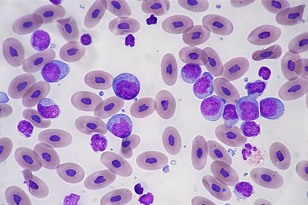
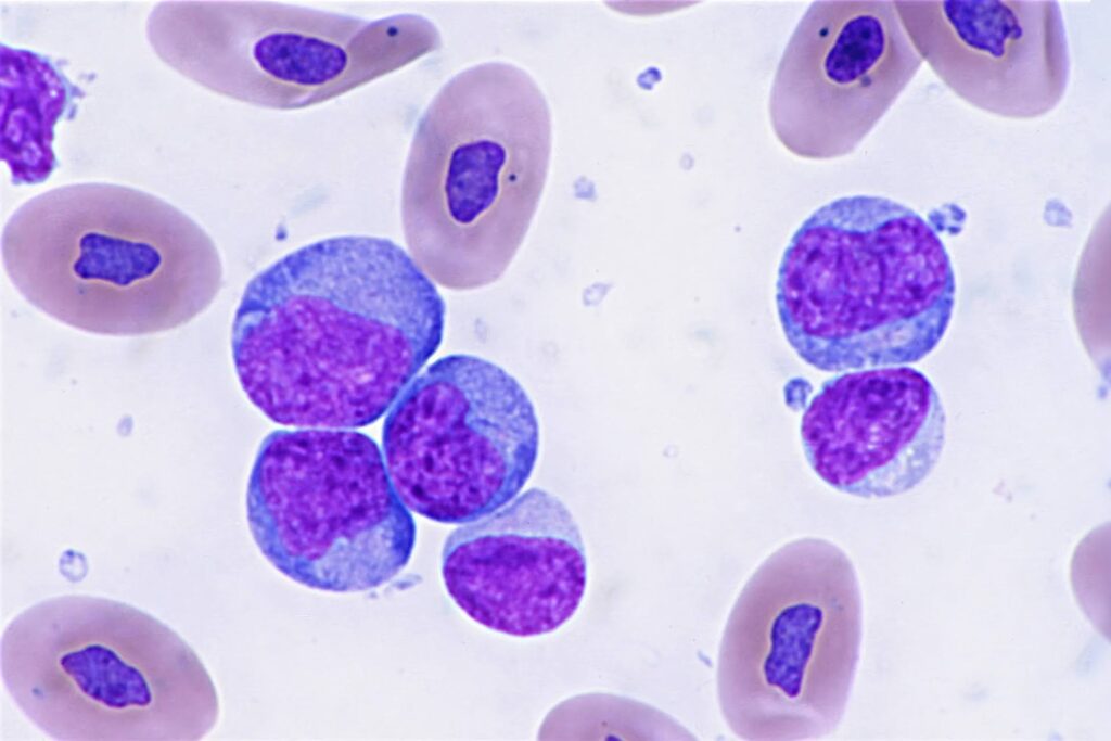
完全血球検査
- 白血球増加症: 著明な、しばしば極端な白血球増加症が一貫して認められる所見で、100,000/µL を超え、症例によっては 600,000/µL 以上に達することもあるります 。
- 貧血: 通常は非再生性の貧血が、頻繁に併発します。
- 血小板減少症: しばしば報告されます。
- 異常細胞の出現
- リンパ芽球: 正常なリンパ球より大型で、高い核細胞質比(N:C比)、微細または凝集の少ないクロマチン、不明瞭な核小体、好塩基性の細胞質を特徴とします 。
- 骨髄芽球: 卵形から不整形の核、微細点描状のクロマチン、明瞭な核小体を持ち、有糸分裂像が頻繁に見られます 。
- 異常な顆粒球: 高いN:C比、核の詳細を不明瞭にする多数の異染性顆粒が見られます。


血清生化学検査
血清生化学的異常は、しばしば軽度または非特異的になります。軽度の高タンパク血症 や肝酵素(ALT, AST)の上昇 が見られることがありますがが、これらは腫瘍細胞の浸潤に続発するものと考えられます。尿酸値の上昇は、腎臓への浸潤や脱水を反映している可能性があります 。血清生化学検査は、白血病自体の診断よりも、むしろ患者の全身状態や臓器機能(例:麻酔リスク評価)を評価する上で有用です。
確定診断:骨髄穿刺吸引検査
原発性の骨髄疾患を示唆する場合に、骨髄検査が適応となります。犬猫のプロトコルから外挿した手技が用いられ、採取部位としては上腕骨近位部や大腿骨が選択され、Jamshidi針を用いて穿刺吸引塗抹標本とホルマリン固定したコア生検サンプルが採取されます。白血病に特徴的な所見は、正常な造血組織が腫瘍細胞によって広範に浸潤・置換され、それに伴い正常な赤血球系、骨髄系、巨核球系の細胞系列が減少することです。 腫瘍マーカー(CD3, CD79a, PAX5)を血液塗抹標本(ICC)や組織切片(IHC)に適用することで、確定的な免疫表現型を得ることができます。
治療
爬虫類の白血病に対する化学療法は、主にフトアゴヒゲトカゲの症例集積報告とカメレオンの症例報告に基づいています。5例のフトアゴヒゲトカゲに対し、ロムスチン(経口)、プレドニゾロン(経口)、および抗菌薬の併用療法が実施され、L-アスパラギナーゼが利用可能な場合には追加投与された。全例で部分寛解が達成されました〔Caitlin M Hepps Keeney et al.2021〕 。診断後の生存期間は、数日 から〔Christman et al.2017〕 、ロムスチンで治療されたフトアゴヒゲトカゲの1年以上(416日) までと幅広く報告されています〔Christman et al.2017〕。1例のフトアゴヒゲトカゲでは、病勢進行後にレスキュープロトコルとしてシクロホスファミドが使用され、2回目の部分寛解を達成しました 。別の報告では、緩和ケア目的でのシクロホスファミドの使用が記録されています〔Caitlin M Hepps Keeney et al.2021〕 。 ロムスチン単剤は、T細胞性L/Lのフトアゴヒゲトカゲにコルチコステロイドおよび抗菌薬と併用されましたが、一時的な安定化の後に急速な悪化をたどりました〔Christman et al.2017〕 。シトシンアラビノシドの単剤は AMLのベールカメレオンにプレドニゾンと併用され、芽球数の著しい減少と臨床的改善をもたらしましたが、最終的に二次感染により死亡しました〔Shannon et al.2021〕 。
爬虫類化学療法の体表面積と投与量
爬虫類における抗がん剤の薬物動態データが不足していることが最大の課題です。化学療法の薬剤の投与量はしばしば哺乳類から外挿されます。 化学療法薬の投与量は、体重よりも代謝量をよく反映するとされるBSA(Body surface areaに)基づいて計算されることが多いです 。爬虫類に従来用いられてきたBSA計算式の定数(K値)10は、フトアゴヒゲトカゲには不正確であることが示され、CT画像から導出されたより正確なK値は11.6とされています 。この標準的なBSA計算式の不正確さは、爬虫類における治療成績不良の一因となっており、これまで見過ごされてきた重要な要因である可能性があります。化学療法の有効性は、許容できない毒性を引き起こすことなく治療域の薬物濃度を達成することにかかっています。BSAは体重よりも代謝率との相関が高いため、投与量の決定に用いられています。BSAの計算式は,BSA=K×(Weight)2/3 であり、K値が重要な変数となり、フトアゴヒゲトカゲに対して、より正確なK値11.6の代わりに10を使用すると、計算されるBSAは真のBSAよりも系統的に低くなります(10/11.6≈86%)。したがって、K=10で計算された投与量は、K=11.6で計算された投与量よりも約14%低くなります。この一貫した過少投与は、薬物濃度を有効性のための治療閾値を下回らせ、副作用を引き起こすには十分な濃度でありながら、治療の失敗(例:部分的または一時的な寛解しか得られない)につながる可能性がありますこの一つの数学的な不一致が、この種における化学療法の有効性評価における主要な交絡因子となります〔Caitlin M Hepps Keeney et al.2021〕。
待望の新刊! 爬虫類の病気百科
エキゾチックアニマル臨床の第一人者 霍野晋吉が贈る、獣医師そして飼育者、ブリーダーまで、全爬虫類関係者へ送る医学バイブル
参考文献
- Caitlin M Hepps Keeney et al.Lymphoid leukemia in five bearded dragons (Pogona vitticeps).J Am Vet Med Assoc258(7):748-757.2021
- Caitlin M Hepps Keeney et al.Use of computed tomography to determine a species-specific formula for body surface area in bearded dragons (Pogona vitticeps).American Journal of Veterinary Research 82(8):629-633.2021
- Frye FL.Acute Lymphatic Leukemia in a Boa Constrictor.Journal of the American Veterinary Medical Association163(6):653-4.1973
- Gavazz Alessandra et al.A CASE OF LYMPHOCYTIC LEUKEMIA IN A BEARDED DRAGON (POGONA VITTICEPS) AND A REVIEW OF LITERATURE.Acta Veterinaria-Beograd69(3):360-368.2019
- Goldberg SR et al.A Case of Leukemia in the Desert Spiny Lizard (Sceloporus magister).Journal of Wildlife Diseases27(3):521-525.1991
- Hernandez‐Divers SM et al.Lymphoma in Lizards: Three Case Reports.Journal of Herpetological Medicine and Surgery.2003
- Miljković Josip et al.Systemic CD3+ T-Cell Lymphoblastic Leukemia in a Bearded Dragon (Pogona vitticeps): Clinical, Therapeutic, and Pathological Findings.Animals (Basel)19;15(18):2736.2025
- Pagliarani Sara et al.T- and B-cell lymphomas in 2 captive green tree pythons.J Vet Diagn Invest13.2025
- Shannon D Dehghanpir, Bonnie Boudreaux,Sita S Withers,Adrien Izquierdo,Emi Sasaki,Fabio Del Piero,Meena Braden,Mark A.Mitchell.Chemotherapy-Responsive Acute Myeloid Leukemia in a Veiled Chameleon (Chamaeleo calyptratus).J Herpetological Medicine and Surgery31(4):257-263.2021
- RousselEstelle et al.Presumptive granulocytic leukemia in a hognose snake (Heterodon platirhinos).Veterinary Quarterly37(1):1-15.2017
- Shannon D.Dehghanpir,Bonnie Boudreaux,Sita S.Withers, Adrien Izquierdo,Emi Sasaki, Fabio Del Piero,Meena Braden, Mark A.Mitchell.Chemotherapy-Responsive Acute Myeloid Leukemia in a Veiled Chameleon (Chamaeleo calyptratus).J. of Herpetological Medicine and Surgery31(4):257-263.2021
