病気予防の飼育を心がける
イグアナの病気は、代謝性骨疾患、消化管内異物、メスの卵関連疾患が3大疾患になり、多くがこれらの病気で死んでいます。それらの病気をどのように予防するかが重要で、以下の3つがポイントとなります。
- 幼体の紫外線ライトとカルシウム
- 放し飼いで異物を口にさせない
- メスの無精卵対策

幼体の紫外線ライトとカルシウム
イグアナは成長が早く、2~3年で全長2m近くになります。その発育には十分なカルシウムとビタミンDが必要になります。カルシウムが少ないエサ、紫外線の不足により、成長不良、骨の菲薄や変形、骨折するような代謝性骨疾患(MBD:Metabolic bone disease)が起こります。骨


軟化症やくる病とも呼ばれることもあります。低カルシウム血症を起こして振戦がみられることもあります。
餌はカルシウム含有量の多いものを与えます。野菜では、カルシウム含有量の多いコマツナ、チンゲンサイ、モロヘイヤなどを主食にして下さい。消化管からのカルシウムの吸収は、餌のカルシウム:リンの比率にも影響されるので、肉類などのリンが多いようなエサは避けます。最も多くみられる餌の選択のミスは、カルシウムが十分に含まれていないバナナ、ミカン、メロンなどの果物を主食としていることです。なお、ホウレンソウなどのシュウ酸含有量の多い野菜はカルシウム吸収を阻害するので与えないようにしましょう。

カルシウムの吸収促進や骨への沈着を促進するには、活性化されたビタミンDが必要です。ビタミンDはエサから取るだけでは不完全で、吸収された後に紫外線によって活性化されなければ有効利用できません。野生の自然界のイグアナは、赤道直下で毎日、日光浴をしており、同時に有効な紫外線を浴びてビタミンDの活性化が行われています。飼育下では多くの場合、圧倒的に紫外線が不足がちです。夏は特に出来る限り日光浴をさせ、屋内飼育ならびに冬は紫外線ライトを使うことが必要になります。日光浴も紫外線ライトもガラス越しではなく、直接あててください。紫外線はガラスにより吸収されてしまいます。

すでに代謝性骨疾患と診断された場合は、餌にカルシウム剤をかけて与えて下さい。

爬虫類飼育者は必ず読むこと!
爬虫類.カメ・ヘビ・トカゲ・ワニ.長く健康に生きる餌やりのガイド
ポチップ
目からウロコ・・・この本もヤバすぎ!
放し飼いで異物を口にさせない
大きく成長したイグアナはケージ飼育ではなく、部屋の中で放し飼いになるでしょう。部屋中をうろうろとし、部屋に落ちているプラスチックやビニール片、ネジなどの異物を飲み込んでしまうことがあります(消化管内異物)。異物が胃腸の中に停滞すると食欲不振や体重減少がみられ、腸閉塞が起こると詰まると腹痛が見られ、ぐったりします。


イグアナはかじって飲み込むというよりは、丸のみをすることが多いです。放す部屋の中では、口の中に入るサイズの異物はすべて取り除きましょう。

異物以外にも、観葉植物なども食べて中毒を起こす可能性があるので注意しましょう。小さな異物であれば糞と一緒に排泄しますが、大きな異物であれば外科的に摘出するしかありません。
メスの無精卵対策
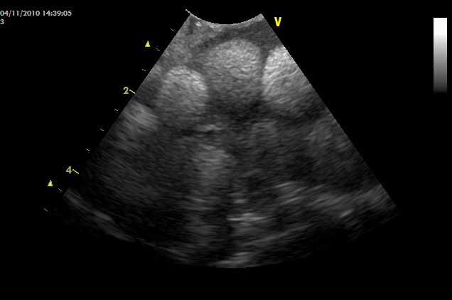
メスが繁殖期を迎えて卵ができたら、一般的に無精卵を産むか、卵が吸収してなくなるかのどちらかです。メスを飼育されている人が、「うちのグリーンイグアナは発情期になっても卵を産まない」という声も聞きますが、よく調べると卵ができて自然に吸収してなくなっていることもありえます。卵ができると2~3カ月の時間を要して無精卵が産み出されます。卵が大きくなるにつれて、拒食、腹部膨満、地面を掘るなどの症状がみられるようになります。卵ができると最初に卵殻がない黄色の卵胞(らんぽう)が形成されます。一つの卵巣に何十個もの卵胞ができるので、まるでブドウの房のようです。卵胞はX線にはうつらないので、超音波検査で診断します。

卵胞を超音波でみると、多数の球状の影としてうつしだされます。

イグアナが産卵する環境でないと判断した場合、卵胞ならば自然に吸収して、縮小しまうこともあります。

卵胞は卵巣から卵管に排卵されます。卵では次第に卵殻が形成されます。卵殻がある卵は絶対に吸収することはありません。

卵殻はX線にうつりますが、トカゲの卵殻は薄いのが普通なので明確にはうつりません。

卵殻が形成された卵を持ったイグアナが無事に産卵させるために、産卵場所を設けます。不適切な産卵環境であると産卵できずに、卵塞を起こす可能性が高くなります。産卵する場所は具体的に産卵箱を使用し、トカゲでは箱の横に小さな入口を設け、湿度を保つために容器の半分くらいに湿らせたバーミキュライトか水苔などの床敷を産卵床として敷きます。産卵箱がダンボールなどで体の大きさに合わせて作ってあげるとよいです。

産卵箱内の温度は、28~30℃に設定します。産卵床は湿気があることが重要で、地面を掘ることもあるので、ダンボールの中に容器を用意して十分な深さの床敷を敷いて下さい。

産卵後のメスは腹部がしぼんでいますが、産卵床の水分を吸収して次第に張ってきます。

毎年の繁殖期に無精卵を産む完全対策は、卵巣・卵管出手術になります。しかし、全身麻酔をかけての外科手術になりますので、よく考えてから行ってください。発情を抑制するホルモン治療もありますが、まだ完全な治療法とは言えません。
待望の新刊! 爬虫類の病気百科
エキゾチックアニマル臨床の第一人者 霍野晋吉が贈る、獣医師、そして飼育者、ブリーダーまで、全爬虫類関係へ送る医学バイブル

